ARG40969
anti-AKR1A1 / Aldehyde Reductase antibody
anti-AKR1A1 / Aldehyde Reductase antibody for IHC-Formalin-fixed paraffin-embedded sections,Western blot and Human
概述
| 产品描述 | Rabbit Polyclonal antibody recognizes AKR1A1 / Aldehyde Reductase |
|---|---|
| 反应物种 | Hu |
| 应用 | IHC-P, WB |
| 宿主 | Rabbit |
| 克隆 | Polyclonal |
| 同位型 | IgG |
| 靶点名称 | AKR1A1 / Aldehyde Reductase |
| 抗原物种 | Human |
| 抗原 | KLH-conjugated synthetic peptide between aa. 293-325 of Human AKR1A1. |
| 偶联标记 | Un-conjugated |
| 別名 | ALR; ARM; DD3; ALDR1; HEL-S-6; Alcohol dehydrogenase [NADP(+)]; EC 1.1.1.2; Aldehyde reductase; Aldo-keto reductase family 1 member A1 |
应用说明
| 应用建议 |
|
||||||
|---|---|---|---|---|---|---|---|
| 应用说明 | * The dilutions indicate recommended starting dilutions and the optimal dilutions or concentrations should be determined by the scientist. | ||||||
| 阳性对照 | Y79 | ||||||
| 实际分子量 | 38 kDa |
属性
| 形式 | Liquid |
|---|---|
| 纯化 | Saturated Ammonium Sulfate (SAS) precipitation followed by dialysis against PBS. |
| 缓冲液 | PBS and 0.09% (W/V) Sodium azide. |
| 抗菌剂 | 0.09% (W/V) Sodium azide. |
| 存放说明 | For continuous use, store undiluted antibody at 2-8°C for up to a week. For long-term storage, aliquot and store at -20°C or below. Storage in frost free freezers is not recommended. Avoid repeated freeze/thaw cycles. Suggest spin the vial prior to opening. The antibody solution should be gently mixed before use. |
| 注意事项 | For laboratory research only, not for drug, diagnostic or other use. |
生物信息
| 数据库连接 | |
|---|---|
| 基因名称 | AKR1A1 |
| 全名 | aldo-keto reductase family 1, member A1 (aldehyde reductase) |
| 背景介绍 | This gene encodes a member of the aldo/keto reductase superfamily, which consists of more than 40 known enzymes and proteins. This member, also known as aldehyde reductase, is involved in the reduction of biogenic and xenobiotic aldehydes and is present in virtually every tissue. Multiple alternatively spliced transcript variants of this gene exist, all encoding the same protein. [provided by RefSeq, Jan 2011] |
| 生物功能 | Catalyzes the NADPH-dependent reduction of a variety of aromatic and aliphatic aldehydes to their corresponding alcohols. Catalyzes the reduction of mevaldate to mevalonic acid and of glyceraldehyde to glycerol. Has broad substrate specificity. In vitro substrates include succinic semialdehyde, 4-nitrobenzaldehyde, 1,2-naphthoquinone, methylglyoxal, and D-glucuronic acid. Plays a role in the activation of procarcinogens, such as polycyclic aromatic hydrocarbon trans-dihydrodiols, and in the metabolism of various xenobiotics and drugs, including the anthracyclines doxorubicin (DOX) and daunorubicin (DAUN). [UniProt] |
| 预测分子量 | 37 kDa |
检测图片 (2) Click the Picture to Zoom In
-
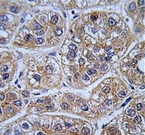
ARG40969 anti-AKR1A1 / Aldehyde Reductase antibody IHC-P image
Immunohistochemistry: Formalin-fixed and paraffin-embedded Human hepatocarcinoma tissue stained with ARG40969 anti-AKR1A1 / Aldehyde Reductase antibody.
-
ARG40969 anti-AKR1A1 / Aldehyde Reductase antibody WB image
Western blot: 35 µg of Y79 cell lysate stained with ARG40969 anti-AKR1A1 / Aldehyde Reductase antibody.
