ARG45799
anti-AKAP8 / AKAP95 antibody
anti-AKAP8 / AKAP95 antibody for Flow cytometry,ICC/IF,IHC-Formalin-fixed paraffin-embedded sections,Western blot and Human
概述
| 产品描述 | Rabbit Polyclonal antibody recognizes AKAP8 / AKAP95 |
|---|---|
| 反应物种 | Hu |
| 应用 | FACS, ICC/IF, IHC-P, WB |
| 宿主 | Rabbit |
| 克隆 | Polyclonal |
| 同位型 | IgG |
| 靶点名称 | AKAP8 / AKAP95 |
| 抗原物种 | Human |
| 抗原 | Recombinant protein containing to human AKAP8 / AKAP95 . |
| 偶联标记 | Un-conjugated |
| 別名 | AKAP8; A-Kinase Anchoring Protein 8; AKAP-8; AKAP95; AKAP 95; A-kinase anchor protein 95 kDa; AKAP-95; A-kinase anchor protein 8 |
应用说明
| 应用建议 |
|
||||||||||
|---|---|---|---|---|---|---|---|---|---|---|---|
| 应用说明 | * The dilutions indicate recommended starting dilutions and the optimal dilutions or concentrations should be determined by the scientist. | ||||||||||
| 实际分子量 | 92 kDa |
属性
| 形式 | Liquid |
|---|---|
| 纯化 | Affinity purified |
| 缓冲液 | 0.2% Na2HPO4, 0.9% NaCl and 4% Trehalose. |
| 稳定剂 | 4% Trehalose |
| 浓度 | 0.5 mg/ml |
| 存放说明 | For continuous use, store undiluted antibody at 2-8°C for up to a week. For long-term storage, aliquot and store at -20°C or below. Storage in frost free freezers is not recommended. Avoid repeated freeze/thaw cycles. Suggest spin the vial prior to opening. The antibody solution should be gently mixed before use. |
| 注意事项 | For laboratory research only, not for drug, diagnostic or other use. |
生物信息
| 数据库连接 | |
|---|---|
| 基因名称 | AKAP8 |
| 全名 | A-Kinase Anchoring Protein 8 |
| 背景介绍 | This gene encodes a member of the A-kinase anchor protein family. A-kinase anchor proteins are scaffold proteins that contain a binding domain for the RI/RII subunit of protein kinase A (PKA) and recruit PKA and other signaling molecules to specific subcellular locations. This gene encodes a nuclear A-kinase anchor protein that binds to the RII alpha subunit of PKA and may play a role in chromosome condensation during mitosis by targeting PKA and the condensin complex to chromatin. A pseudogene of this gene is located on the short arm of chromosome 9. [provided by RefSeq, May 2011] |
| 生物功能 | Anchoring protein that mediates the subcellular compartmentation of cAMP-dependent protein kinase (PKA type II). [UniProt] |
| 细胞定位 | Cytoplasm; Nucleus. [UniProt] |
| 预测分子量 | 76 kDa |
| 翻译后修饰 | Phosphorylated on tyrosine residues probably by SRC subfamily protein kinases; multiple phosphorylation is leading to dissociation from nuclear structures implicated in chromatin structural changes. [UniProt] |
检测图片 (4) Click the Picture to Zoom In
-
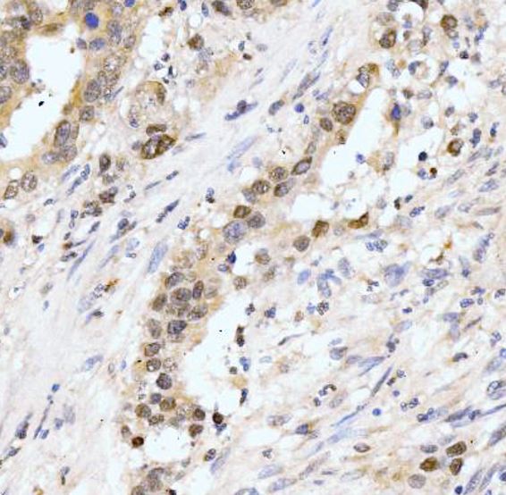
ARG45799 anti-AKAP8 / AKAP95 antibody IHC-P image
Immunohistochemistry: Human appendiceal adenocarcinoma stained with ARG45799 anti-AKAP8 / AKAP95 antibody at 2 μg/ml dilution.
-
ARG45799 anti-AKAP8 / AKAP95 antibody ICC/IF image
Immunofluorescence: MCF-7 stained with ARG45799 anti-AKAP8 / AKAP95 antibody at 5 μg/ml dilution.
-
ARG45799 anti-AKAP8 / AKAP95 antibody WB image
Western blot: HEK293 stained with ARG45799 anti-AKAP8 / AKAP95 antibody at 0.5 μg/ml dilution.
-
ARG45799 anti-AKAP8 / AKAP95 antibody FACS image
Flow Cytometry: A431 stained with ARG45799 anti-AKAP8 / AKAP95 antibody at 1 µg/10^6 cells dilution.
