ARG54806
anti-AK4 antibody
anti-AK4 antibody for ICC/IF,IHC-Formalin-fixed paraffin-embedded sections,Western blot and Human,Mouse
Metabolism antibody; Signaling Transduction antibody
概述
| 产品描述 | Rabbit Polyclonal antibody recognizes AK4 |
|---|---|
| 反应物种 | Hu, Ms |
| 应用 | ICC/IF, IHC-P, WB |
| 宿主 | Rabbit |
| 克隆 | Polyclonal |
| 同位型 | IgG |
| 靶点名称 | AK4 |
| 抗原物种 | Human |
| 抗原 | KLH-conjugated synthetic peptide corresponding to aa. 119-153 (Center) of Human AK4. |
| 偶联标记 | Un-conjugated |
| 別名 | EC 2.7.4.10; AK3; GTP:AMP phosphotransferase AK4; AK3L2; AK3L1; EC 2.7.4.6; AK 4; Adenylate kinase 4, mitochondrial; Adenylate kinase 3-like |
应用说明
| 应用建议 |
|
||||||||
|---|---|---|---|---|---|---|---|---|---|
| 应用说明 | * The dilutions indicate recommended starting dilutions and the optimal dilutions or concentrations should be determined by the scientist. | ||||||||
| 阳性对照 | HepG2 |
属性
| 形式 | Liquid |
|---|---|
| 纯化 | Purification with Protein A and immunogen peptide. |
| 缓冲液 | PBS and 0.09% (W/V) Sodium azide |
| 抗菌剂 | 0.09% (W/V) Sodium azide |
| 存放说明 | For continuous use, store undiluted antibody at 2-8°C for up to a week. For long-term storage, aliquot and store at -20°C or below. Storage in frost free freezers is not recommended. Avoid repeated freeze/thaw cycles. Suggest spin the vial prior to opening. The antibody solution should be gently mixed before use. |
| 注意事项 | For laboratory research only, not for drug, diagnostic or other use. |
生物信息
| 数据库连接 | |
|---|---|
| 基因名称 | AK4 |
| 全名 | adenylate kinase 4 |
| 背景介绍 | This gene encodes a member of the adenylate kinase family of enzymes. The encoded protein is localized to the mitochondrial matrix. Adenylate kinases regulate the adenine and guanine nucleotide compositions within a cell by catalyzing the reversible transfer of phosphate group among these nucleotides. Five isozymes of adenylate kinase have been identified in vertebrates. Expression of these isozymes is tissue-specific and developmentally regulated. A pseudogene for this gene has been located on chromosome 17. Three transcript variants encoding the same protein have been identified for this gene. Sequence alignment suggests that the gene defined by NM_013410, NM_203464, and NM_001005353 is located on chromosome 1. [provided by RefSeq, Jul 2008] |
| 生物功能 | Involved in maintaining the homeostasis of cellular nucleotides by catalyzing the interconversion of nucleoside phosphates. Efficiently phosphorylates AMP and dAMP using ATP as phosphate donor, but phosphorylates only AMP when using GTP as phosphate donor. Also displays broad nucleoside diphosphate kinase activity. [UniProt] |
| 细胞定位 | Mitochondrion matrix {ECO:0000255|HAMAP- Rule:MF_03170, ECO:0000269|PubMed:11485571, ECO:0000269|PubMed:19766732} |
| 研究领域 | Metabolism antibody; Signaling Transduction antibody |
| 预测分子量 | 25 kDa |
检测图片 (3) Click the Picture to Zoom In
-
ARG54806 anti-AK4 antibody ICC/IF image
Immunofluorescence: HepG2 cells stained with ARG54806 anti-AK4 antibody (green) at 1:25 dilution. DAPI (blue) for nuclear staining. Cytoplasmic actin was counterstained with Alexa Fluor® 555 conjugated with Phalloidin (red).
-
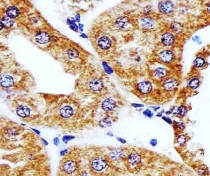
ARG54806 anti-AK4 antibody IHC-P image
Immunohistochemistry: Paraffin-embedded Mouse kidney section stained with ARG54806 anti-AK4 antibody at 1:25 dilution.
-
ARG54806 anti-AK4 antibody WB image
Western blot: 35 µg of HepG2 lysate stained with ARG54806 anti-AK4 antibody at 1:1000 dilution.
