ARG56921
anti-AK3 antibody [SJB3-36]
anti-AK3 antibody [SJB3-36] for Flow cytometry,ICC/IF,IHC-Formalin-fixed paraffin-embedded sections,Western blot and Human,Mouse
概述
| 产品描述 | Mouse Monoclonal antibody [SJB3-36] recognizes AK3 |
|---|---|
| 反应物种 | Hu, Ms |
| 应用 | FACS, ICC/IF, IHC-P, WB |
| 宿主 | Mouse |
| 克隆 | Monoclonal |
| 克隆号 | SJB3-36 |
| 同位型 | IgG1, kappa |
| 靶点名称 | AK3 |
| 抗原物种 | Human |
| 抗原 | Recombinant fragment of Human AK3. |
| 偶联标记 | Un-conjugated |
| 別名 | EC 2.7.4.10; AKL3L; Adenylate kinase 3; Adenylate kinase 3 alpha-like 1; FIX; AK6; AK3L1; AKL3L1; GTP:AMP phosphotransferase AK3, mitochondrial; AK 3 |
应用说明
| 应用建议 |
|
||||||||||
|---|---|---|---|---|---|---|---|---|---|---|---|
| 应用说明 | * The dilutions indicate recommended starting dilutions and the optimal dilutions or concentrations should be determined by the scientist. |
属性
| 形式 | Liquid |
|---|---|
| 纯化 | Purification with Protein G. |
| 缓冲液 | PBS (pH 7.4), 0.02% Sodium azide and 10% Glycerol. |
| 抗菌剂 | 0.02% Sodium azide |
| 稳定剂 | 10% Glycerol |
| 浓度 | 1 mg/ml |
| 存放说明 | For continuous use, store undiluted antibody at 2-8°C for up to a week. For long-term storage, aliquot and store at -20°C. Storage in frost free freezers is not recommended. Avoid repeated freeze/thaw cycles. Suggest spin the vial prior to opening. The antibody solution should be gently mixed before use. |
| 注意事项 | For laboratory research only, not for drug, diagnostic or other use. |
生物信息
| 数据库连接 |
Swiss-port # Q9UIJ7 Human GTP:AMP phosphotransferase AK3, mitochondrial Swiss-port # Q9WTP7 Mouse GTP:AMP phosphotransferase AK3, mitochondrial |
|---|---|
| 基因名称 | AK3 |
| 全名 | adenylate kinase 3 |
| 背景介绍 | The protein encoded by this gene is a GTP:ATP phosphotransferase that is found in the mitochondrial matrix. Several transcript variants encoding a few different isoforms have been found for this gene. [provided by RefSeq, Dec 2010] |
| 生物功能 | Involved in maintaining the homeostasis of cellular nucleotides by catalyzing the interconversion of nucleoside phosphates. Has GTP:AMP phosphotransferase and ITP:AMP phosphotransferase activities. [UniProt] |
| 预测分子量 | 26 kDa |
检测图片 (6) Click the Picture to Zoom In
-
ARG56921 anti-AK3 antibody [SJB3-36] ICC/IF image
Immunoflorescense: U87MG cell line stained with ARG56921 anti-AK3 antibody [SJB3-36] at 1:100 (Green).
DAPI (Blue) for nucleus staining.
-
ARG56921 anti-AK3 antibody [SJB3-36] FACS image
Flow Cytometry: Jurkat cell line stained with ARG56921 anti-AK3 antibody [SJB3-36] at 2-5 µg for 1x10^6 cells (red line). Secondary antibody: Goat anti-Mouse IgG Alexa fluor 488 conjugate. Isotype control antibody was Mouse IgG (black line).
-
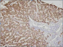
ARG56921 anti-AK3 antibody [SJB3-36] IHC-P image
Immunohistochemistry: Paraffin-embedded sections of Human liver tissue stained with ARG56921 anti-AK3 antibody [SJB3-36] at 1:100 for 2 hours at RT.
-
ARG56921 anti-AK3 antibody [SJB3-36] WB image
Western blot: 50 ng of 1) Recombinant Human AK1, 2) Recombinant Human AK2, 3) Recombinant Human AK3 stained with ARG56921 anti-AK3 antibody [SJB3-36] at 1:1000. .
-
ARG56921 anti-AK3 antibody [SJB3-36] WB image
Western blot: 40 µg of 1) Hep3B cell lysate, 2) 293T cell lysate, 3) Mouse kidney tissue lysate stained with ARG56921 anti-AK3 antibody [SJB3-36] at 1:1000.
-
ARG56921 anti-AK3 antibody [SJB3-36] WB image
Western blot: 40 µg of Mouse liver tissue lysate stained with ARG56921 anti-AK3 antibody [SJB3-36] at 1:1000.
