ARG59579
anti-AK2 antibody
anti-AK2 antibody for IHC-Formalin-fixed paraffin-embedded sections,Western blot and Human,Mouse,Rat
概述
| 产品描述 | Rabbit Polyclonal antibody recognizes AK2 |
|---|---|
| 反应物种 | Hu, Ms, Rat |
| 应用 | IHC-P, WB |
| 宿主 | Rabbit |
| 克隆 | Polyclonal |
| 同位型 | IgG |
| 靶点名称 | AK2 |
| 抗原物种 | Human |
| 抗原 | Recombinant fusion protein corresponding to aa. 1-232 of Human AK2 (NP_001616.1). |
| 偶联标记 | Un-conjugated |
| 別名 | ADK2; Adenylate kinase 2, mitochondrial; ATP-AMP transphosphorylase 2; ATP:AMP phosphotransferase; Adenylate monophosphate kinase; EC 2.7.4.3; AK 2 |
应用说明
| 应用建议 |
|
||||||
|---|---|---|---|---|---|---|---|
| 应用说明 | * The dilutions indicate recommended starting dilutions and the optimal dilutions or concentrations should be determined by the scientist. | ||||||
| 阳性对照 | Rat liver, Mouse kidney and HL-60 | ||||||
| 实际分子量 | 26 kDa |
属性
| 形式 | Liquid |
|---|---|
| 纯化 | Affinity purified. |
| 缓冲液 | PBS (pH 7.3), 0.02% Sodium azide and 50% Glycerol. |
| 抗菌剂 | 0.02% Sodium azide |
| 稳定剂 | 50% Glycerol |
| 存放说明 | For continuous use, store undiluted antibody at 2-8°C for up to a week. For long-term storage, aliquot and store at -20°C. Storage in frost free freezers is not recommended. Avoid repeated freeze/thaw cycles. Suggest spin the vial prior to opening. The antibody solution should be gently mixed before use. |
| 注意事项 | For laboratory research only, not for drug, diagnostic or other use. |
生物信息
| 数据库连接 | |
|---|---|
| 基因名称 | AK2 |
| 全名 | adenylate kinase 2 |
| 背景介绍 | Adenylate kinases are involved in regulating the adenine nucleotide composition within a cell by catalyzing the reversible transfer of phosphate groups among adenine nucleotides. Three isozymes of adenylate kinase, namely 1, 2, and 3, have been identified in vertebrates; this gene encodes isozyme 2. Expression of these isozymes is tissue-specific and developmentally regulated. Isozyme 2 is localized in the mitochondrial intermembrane space and may play a role in apoptosis. Mutations in this gene are the cause of reticular dysgenesis. Alternate splicing results in multiple transcript variants. Pseudogenes of this gene are found on chromosomes 1 and 2.[provided by RefSeq, Nov 2010] |
| 生物功能 | Catalyzes the reversible transfer of the terminal phosphate group between ATP and AMP. Plays an important role in cellular energy homeostasis and in adenine nucleotide metabolism. Adenylate kinase activity is critical for regulation of the phosphate utilization and the AMP de novo biosynthesis pathways. Plays a key role in hematopoiesis. [UniProt] |
| 细胞定位 | Mitochondrion intermembrane space. [UniProt] |
| 预测分子量 | 26 kDa |
检测图片 (3) Click the Picture to Zoom In
-
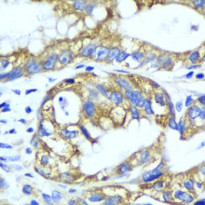
ARG59579 anti-AK2 antibody IHC-P image
Immunohistochemistry: Paraffin-embedded Human gastric cancer stained with ARG59579 anti-AK2 antibody at 1:100 dilution.
-
ARG59579 anti-AK2 antibody WB image
Western blot: 25 µg of Rat liver, Mouse kidney and HL-60 cell lysates stained with ARG59579 anti-AK2 antibody at 1:1000 dilution.
-
ARG59579 anti-AK2 antibody WB image
Western blot: 25 µg of extracts from normal (control) and AK2 knockout (KO) 293T cells stained with ARG59579 anti-AK2 antibody at 1:1000 dilution.
