ARG41731
anti-AIM2 antibody
anti-AIM2 antibody for IHC-Formalin-fixed paraffin-embedded sections and Human,Mouse,Rat
概述
| 产品描述 | Rabbit Polyclonal antibody recognizes AIM2 |
|---|---|
| 反应物种 | Hu, Ms, Rat |
| 应用 | IHC-P |
| 宿主 | Rabbit |
| 克隆 | Polyclonal |
| 同位型 | IgG |
| 靶点名称 | AIM2 |
| 抗原物种 | Human |
| 抗原 | Recombinant protein corresponding to L14-H215 of Human AIM2. |
| 偶联标记 | Un-conjugated |
| 別名 | PYHIN4; Interferon-inducible protein AIM2; Absent in melanoma 2 |
应用说明
| 应用建议 |
|
||||
|---|---|---|---|---|---|
| 应用说明 | * The dilutions indicate recommended starting dilutions and the optimal dilutions or concentrations should be determined by the scientist. |
属性
| 形式 | Liquid |
|---|---|
| 纯化 | Affinity purification with immunogen. |
| 缓冲液 | 0.2% Na2HPO4, 0.9% NaCl, 0.05% Sodium azide and 5% BSA. |
| 抗菌剂 | 0.05% Sodium azide |
| 稳定剂 | 5% BSA |
| 浓度 | 0.5 mg/ml |
| 存放说明 | For continuous use, store undiluted antibody at 2-8°C for up to a week. For long-term storage, aliquot and store at -20°C or below. Storage in frost free freezers is not recommended. Avoid repeated freeze/thaw cycles. Suggest spin the vial prior to opening. The antibody solution should be gently mixed before use. |
| 注意事项 | For laboratory research only, not for drug, diagnostic or other use. |
生物信息
| 数据库连接 | |
|---|---|
| 基因名称 | AIM2 |
| 全名 | absent in melanoma 2 |
| 背景介绍 | AIM2 is a member of the IFI20X /IFI16 family. It plays a putative role in tumorigenic reversion and may control cell proliferation. Interferon-gamma induces expression of AIM2. [provided by RefSeq, Jul 2008] |
| 生物功能 | Involved in innate immune response by recognizing cytosolic double-stranded DNA and inducing caspase-1-activating inflammasome formation in macrophages. Upon binding to DNA is thought to undergo oligomerization and to associate with PYCARD initiating the recruitment of caspase-1 precusrsor and processing of interleukin-1 beta and interleukin-18. Detects cytosolic dsDNA of viral and bacterial origin in a non-sequence-specific manner. Can also trigger PYCARD-dependent, caspase-1-independent cell death that involves caspase-8 (By similarity). Tumor suppressor which may act by repressing NF-kappa-B transcriptional activity. [UniProt] |
| 细胞定位 | Nucleus. Cytoplasm. Note=Activated inflammasomes can aggregate in the cytosol as speck-like particles. [UniProt] |
| 预测分子量 | 39 kDa |
检测图片 (3) Click the Picture to Zoom In
-
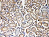
ARG41731 anti-AIM2 antibody IHC-P image
Immunohistochemistry: Paraffin-embedded Mouse kidney tissue stained with ARG41731 anti-AIM2 antibody.
-
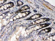
ARG41731 anti-AIM2 antibody IHC-P image
Immunohistochemistry: Paraffin-embedded Rat intestine tissue stained with ARG41731 anti-AIM2 antibody.
-
ARG41731 anti-AIM2 antibody IHC-P image
Immunohistochemistry: Paraffin-embedded Human lung cancer tissue stained with ARG41731 anti-AIM2 antibody.
