ARG44409
anti-AHRR antibody
anti-AHRR antibody for Flow cytometry,ICC/IF,IHC-Formalin-fixed paraffin-embedded sections,Western blot and Human
概述
| 产品描述 | Rabbit Polyclonal antibody recognizes AHRR |
|---|---|
| 反应物种 | Hu |
| 应用 | FACS, ICC/IF, IHC-P, WB |
| 宿主 | Rabbit |
| 克隆 | Polyclonal |
| 同位型 | IgG |
| 靶点名称 | AHRR |
| 抗原物种 | Human |
| 抗原 | Human AHRR recombinant protein (aa. sequence: K410-D665). |
| 偶联标记 | Un-conjugated |
| 別名 | AHRR; Aryl Hydrocarbon Receptor Repressor; BHLHe77; KIAA1234; Class E Basic Helix-Loop-Helix Protein 77; AHR Repressor; AHHR; AHH; Aryl Hydrocarbon Hydroxylase Regulator |
应用说明
| 应用建议 |
|
||||||||||
|---|---|---|---|---|---|---|---|---|---|---|---|
| 应用说明 | The dilutions indicate recommended starting dilutions and the optimal dilutions or concentrations should be determined by the scientist. |
属性
| 形式 | Liquid |
|---|---|
| 纯化 | Affinity purified with Immunogen. |
| 缓冲液 | 0.9% NaCl, 0.2% Na2HPO4, 0.05% Sodium azide and 4% Trehalose. |
| 抗菌剂 | 0.05% Sodium azide |
| 稳定剂 | 4% Trehalose |
| 浓度 | 0.5 mg/ml |
| 存放说明 | For continuous use, store undiluted antibody at 2-8°C for up to a week. For long-term storage, aliquot and store at -20°C or below. Storage in frost free freezers is not recommended. Avoid repeated freeze/thaw cycles. Suggest spin the vial prior to opening. The antibody solution should be gently mixed before use. |
| 注意事项 | For laboratory research only, not for drug, diagnostic or other use. |
生物信息
| 数据库连接 |
Swiss-port # A9YTQ3 Human Aryl hydrocarbon receptor repressor |
|---|---|
| 基因名称 | AHRR |
| 全名 | Aryl Hydrocarbon Receptor Repressor |
| 背景介绍 | The protein encoded by this gene participates in the aryl hydrocarbon receptor (AhR) signaling cascade, which mediates dioxin toxicity, and is involved in regulation of cell growth and differentiation. It functions as a feedback modulator by repressing AhR-dependent gene expression. Alternatively spliced transcript variants encoding different isoforms have been described for this gene. |
| 生物功能 | Mediates dioxin toxicity and is involved in regulation of cell growth and differentiation. Represses the transcription activity of AHR by competing with this transcription factor for heterodimer formation with the ARNT and subsequently binding to the xenobiotic response element (XRE) sequence present in the promoter regulatory region of variety of genes. Represses CYP1A1 by binding the XRE sequence and recruiting ANKRA2, HDAC4 and/or HDAC5. Autoregulates its expression by associating with its own XRE site. |
| 细胞定位 | Cytoplasm, Nucleus |
| 预测分子量 | 72 kDa |
| 翻译后修饰 | Isopeptide bond, Ubl conjugation |
检测图片 (5) Click the Picture to Zoom In
-
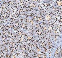
ARG44409 anti-AHRR antibody IHC-P image
Immunohistochemistry: Human bladder urothelial carcinoma stained with ARG44409 anti-AHRR antibody at 2 μg/mL dilution.
-
ARG44409 anti-AHRR antibody ICC/IF image
Immunofluorescence: HeLa stained with ARG44409 anti-AHRR antibody at 5 μg/mL dilution.
-
ARG44409 anti-AHRR antibody WB image
Western blot: HeLa, SiHa and HEL stained with ARG44409 anti-AHRR antibody at 0.5 μg/mL dilution.
-
ARG44409 anti-AHRR antibody FACS image
Flow Cytometry: HEL stained with ARG44409 anti-AHRR antibody at 1 μg/10^6 cells dilution.
-
ARG44409 anti-AHRR antibody IHC-P image
Immunohistochemistry: Human colorectal adenocarcinoma stained with ARG44409 anti-AHRR antibody at 2 μg/mL dilution.
