ARG53743
anti-AGR3 antibody [AGR3.1]
anti-AGR3 antibody [AGR3.1] for ICC/IF,IHC-Frozen sections,IHC-Formalin-fixed paraffin-embedded sections,Western blot and Human
Cancer antibody
概述
| 产品描述 | Mouse Monoclonal antibody [AGR3.1] recognizes AGR3 |
|---|---|
| 反应物种 | Hu |
| 应用 | ICC/IF, IHC-Fr, IHC-P, WB |
| 特异性 | The clone AGR3.1 recognizes the epitope HETTDKNLS within the AGR3 (AG3) protein (19-20 kDa); a secreted cytoplasmic protein which can serve as a marker of carcinogenesis. |
| 宿主 | Mouse |
| 克隆 | Monoclonal |
| 克隆号 | AGR3.1 |
| 同位型 | IgG1 |
| 靶点名称 | AGR3 |
| 抗原物种 | Human |
| 抗原 | Purified human AGR3 protein |
| 偶联标记 | Un-conjugated |
| 別名 | Anterior gradient protein 3 homolog; hAG-3; BCMP11; HAG3; AG-3; Breast cancer membrane protein 11; AG3; PDIA18 |
应用说明
| 应用建议 |
|
||||||||||
|---|---|---|---|---|---|---|---|---|---|---|---|
| 应用说明 | * The dilutions indicate recommended starting dilutions and the optimal dilutions or concentrations should be determined by the scientist. | ||||||||||
| 阳性对照 | WB and ICC/IF: Positive control: T47D. Negative control: H1299 IHC-P and IHC-Fr: Positive tissue: breast cancer |
属性
| 形式 | Liquid |
|---|---|
| 纯化 | Purified from ascites by protein-A affinity chromatography. |
| 纯度 | > 95% (by SDS-PAGE) |
| 缓冲液 | PBS (pH 7.4) and 15 mM Sodium azide |
| 抗菌剂 | 15 mM Sodium azide |
| 浓度 | 1 mg/ml |
| 存放说明 | For continuous use, store undiluted antibody at 2-8°C for up to a week. For long-term storage, aliquot and store at -20°C or below. Storage in frost free freezers is not recommended. Avoid repeated freeze/thaw cycles. Suggest spin the vial prior to opening. The antibody solution should be gently mixed before use. |
| 注意事项 | For laboratory research only, not for drug, diagnostic or other use. |
生物信息
| 数据库连接 | |
|---|---|
| 基因名称 | AGR3 |
| 全名 | anterior gradient 3 |
| 背景介绍 | AGR3 (Anterior Gradient 3) protein, also known as AG3 (hAG-3, HAG3 in human), or BCMP11, is a secreted cytoplasmic protein which is involved in metastasis induction and p53 tumour supressor inhibition. It may serve as molecular marker and potential therapeutic target for hormone-responsive breast tumours. Its Xenopus homolog is associated with anteroposterior fate determination during early development. |
| 研究领域 | Cancer antibody |
| 预测分子量 | 19 kDa |
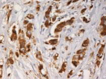
检测图片 (2) Click the Picture to Zoom In
-
ARG53743 anti-AGR3 antibody [AGR3.1] WB image
Western blot: 1. H1229 cell lysate, 2. T47D cell lysate stained with ARG53743 anti-AGR3 antibody [AGR3.1].
-
ARG53743 anti-AGR3 antibody [AGR3.1] IHC-P image
Immunohistochemistry: Paraffin-embedded sections of breast carcinoma stained with ARG53743 anti-AGR3 antibody [AGR3.1].
