ARG55149
anti-AGAP4 antibody
anti-AGAP4 antibody for Flow cytometry,ICC/IF,IHC-Formalin-fixed paraffin-embedded sections,Western blot and Human
Signaling Transduction antibody
概述
| 产品描述 | Rabbit Polyclonal antibody recognizes AGAP4 |
|---|---|
| 反应物种 | Hu |
| 应用 | FACS, ICC/IF, IHC-P, WB |
| 宿主 | Rabbit |
| 克隆 | Polyclonal |
| 同位型 | IgG |
| 靶点名称 | AGAP4 |
| 抗原物种 | Human |
| 抗原 | KLH-conjugated synthetic peptide corresponding to aa. 498-531 (C-terminus) of Human AGAP4. |
| 偶联标记 | Un-conjugated |
| 別名 | MRIP2; CTGLF5; AGAP-8; CTGLF1; AGAP-4; Arf-GAP with GTPase, ANK repeat and PH domain-containing protein 4; AGAP8; Centaurin-gamma-like family member 1; Centaurin-gamma-like family member 5 |
应用说明
| 应用建议 |
|
||||||||||
|---|---|---|---|---|---|---|---|---|---|---|---|
| 应用说明 | * The dilutions indicate recommended starting dilutions and the optimal dilutions or concentrations should be determined by the scientist. | ||||||||||
| 阳性对照 | HT-1080 |
属性
| 形式 | Liquid |
|---|---|
| 纯化 | Purification with Protein A and immunogen peptide. |
| 缓冲液 | PBS and 0.09% (W/V) Sodium azide |
| 抗菌剂 | 0.09% (W/V) Sodium azide |
| 存放说明 | For continuous use, store undiluted antibody at 2-8°C for up to a week. For long-term storage, aliquot and store at -20°C or below. Storage in frost free freezers is not recommended. Avoid repeated freeze/thaw cycles. Suggest spin the vial prior to opening. The antibody solution should be gently mixed before use. |
| 注意事项 | For laboratory research only, not for drug, diagnostic or other use. |
生物信息
| 数据库连接 |
Swiss-port # Q96P64 Human Arf-GAP with GTPase, ANK repeat and PH domain-containing protein 4 |
|---|---|
| 基因名称 | AGAP4 |
| 全名 | ArfGAP with GTPase domain, ankyrin repeat and PH domain 4 |
| 生物功能 | Putative GTPase-activating protein. [UniProt] |
| 研究领域 | Signaling Transduction antibody |
| 预测分子量 | 73 kDa |
检测图片 (4) Click the Picture to Zoom In
-
ARG55149 anti-AGAP4 antibody ICC/IF image
Immunofluorescence: HeLa cells stained with ARG55149 anti-AGAP4 antibody (green) at 1:25 dilution. Cytoplasmic actin was counterstained with Alexa Fluor® 555 conjugated with Phalloidin (red).
-
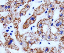
ARG55149 anti-AGAP4 antibody IHC-P image
Immunohistochemistry: Paraffin-embedded Human liver tissue stained with ARG55149 anti-AGAP4 antibody at 1:25 dilution.
-
ARG55149 anti-AGAP4 antibody WB image
Western blot: 35 µg of HT-1080 cell lysate stained with ARG55149 anti-AGAP4 antibody at 1:1000 dilution.
-
ARG55149 anti-AGAP4 antibody FACS image
Flow Cytometry: MCF7 cells stained with ARG55149 anti-AGAP4 antibody (right histogram) at 1:25 dilution or isotype control antibody (left histogram), followed by incubation with Alexa Fluor® 488 labelled secondary antibody.
