ARG57828
anti-AES antibody
anti-AES antibody for ICC/IF,Western blot and Human
概述
| 产品描述 | Rabbit Polyclonal antibody recognizes AES |
|---|---|
| 反应物种 | Hu |
| 应用 | ICC/IF, WB |
| 宿主 | Rabbit |
| 克隆 | Polyclonal |
| 同位型 | IgG |
| 靶点名称 | AES |
| 抗原物种 | Human |
| 抗原 | Synthetic peptide (16 aa) within the last 50 aa of Human AES. |
| 偶联标记 | Un-conjugated |
| 別名 | Grg-5; Groucho-related protein 5; Gp130-associated protein GAM; GRG5; TLE5; Protein GRG; GRG; Protein ESP1; Amino enhancer of split; ESP1; Amino-terminal enhancer of split; AES-2; AES-1 |
应用说明
| 应用建议 |
|
||||||
|---|---|---|---|---|---|---|---|
| 应用说明 | * The dilutions indicate recommended starting dilutions and the optimal dilutions or concentrations should be determined by the scientist. | ||||||
| 阳性对照 | HEK293 and HeLa cells. |
属性
| 形式 | Liquid |
|---|---|
| 纯化 | Affinity purification with immunogen. |
| 缓冲液 | PBS and 0.02% Sodium azide. |
| 抗菌剂 | 0.02% Sodium azide |
| 浓度 | 1 mg/ml |
| 存放说明 | For continuous use, store undiluted antibody at 2-8°C for up to a week. For long-term storage, aliquot and store at -20°C or below. Storage in frost free freezers is not recommended. Avoid repeated freeze/thaw cycles. Suggest spin the vial prior to opening. The antibody solution should be gently mixed before use. |
| 注意事项 | For laboratory research only, not for drug, diagnostic or other use. |
生物信息
| 数据库连接 | |
|---|---|
| 基因名称 | AES |
| 全名 | amino-terminal enhancer of split |
| 背景介绍 | The protein encoded by this gene is similar in sequence to the amino terminus of Drosophila enhancer of split groucho, a protein involved in neurogenesis during embryonic development. The encoded protein, which belongs to the groucho/TLE family of proteins, can function as a homooligomer or as a heteroologimer with other family members to dominantly repress the expression of other family member genes. Three transcript variants encoding different isoforms have been found for this gene. [provided by RefSeq, Jul 2008] |
| 生物功能 | Transcriptional corepressor. Acts as dominant repressor towards other family members. Inhibits NF-kappa-B-regulated gene expression. May be required for the initiation and maintenance of the differentiated state. Essential for the transcriptional repressor activity of SIX3 during retina and lens development. [UniProt] |
| 预测分子量 | 22 kDa |
| 翻译后修饰 | Ubiquitinated by XIAP/BIRC4. [UniProt] |
检测图片 (3) Click the Picture to Zoom In
-
ARG57828 anti-AES antibody IF image
Immunofluorescence: HeLa cells stained with ARG57828 anti-AES antibody at 20 µg/ml dilution.
-
ARG57828 anti-AES antibody WB image
Western blot: HEK293 cell lysate stained with ARG57828 anti-AES antibody at 1, 2 or 4 µg/ml dilution.
-
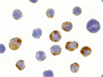
ARG57828 anti-AES antibody ICC image
Immunocytochemistry: HeLa cells stained with ARG57828 anti-AES antibody at 10 µg/ml dilution.
