ARG10772
anti-ADCY6 antibody
anti-ADCY6 antibody for Confocal microscopy (Confocal),ELISA,ICC/IF,IHC-Formalin-fixed paraffin-embedded sections,Immunoprecipitation,Western blot and Human,Mouse,Rat
概述
| 产品描述 | Rabbit Polyclonal antibody recognizes ADCY6 |
|---|---|
| 反应物种 | Hu, Ms, Rat |
| 应用 | Confocal, ELISA, ICC/IF, IHC-P, IP, WB |
| 宿主 | Rabbit |
| 克隆 | Polyclonal |
| 同位型 | IgG |
| 靶点名称 | ADCY6 |
| 抗原物种 | Rat |
| 抗原 | KLH-conjugated synthetic peptide around aa. 13-27 of Rat ADCY6. (DERKTAWGERNGQKR) |
| 偶联标记 | Un-conjugated |
| 別名 | Ca; LCCS8; ATP pyrophosphate-lyase 6; Adenylate cyclase type VI; AC6; Adenylate cyclase type 6; EC 4.6.1.1; Adenylyl cyclase 6; 2+ |
应用说明
| 应用建议 |
|
||||||||||||||
|---|---|---|---|---|---|---|---|---|---|---|---|---|---|---|---|
| 应用说明 | * The dilutions indicate recommended starting dilutions and the optimal dilutions or concentrations should be determined by the scientist. |
属性
| 形式 | Liquid |
|---|---|
| 纯化 | Affinity purified. |
| 缓冲液 | Tris-Glycine Buffer (pH 7.4 - 7.8), Hepes, 0.02% Sodium azide, 30% Glycerol and 0.5% BSA. |
| 抗菌剂 | 0.02% Sodium azide |
| 稳定剂 | 30% Glycerol and 0.5% BSA |
| 浓度 | 0.5 mg/ml |
| 存放说明 | For continuous use, store undiluted antibody at 2-8°C for up to a week. For long-term storage, aliquot and store at -20°C. Storage in frost free freezers is not recommended. Avoid repeated freeze/thaw cycles. Suggest spin the vial prior to opening. The antibody solution should be gently mixed before use. |
| 注意事项 | For laboratory research only, not for drug, diagnostic or other use. |
生物信息
| 数据库连接 | |
|---|---|
| 基因名称 | Adcy6 |
| 全名 | adenylate cyclase 6 |
| 背景介绍 | This gene encodes a member of the adenylyl cyclase family of proteins, which are required for the synthesis of cyclic AMP. All members of this family have an intracellular N-terminus, a tandem repeat of six transmembrane domains separated by a cytoplasmic loop, and a C-terminal cytoplasmic domain. The two cytoplasmic regions bind ATP and form the catalytic core of the protein. Adenylyl cyclases are important effectors of transmembrane signaling pathways and are regulated by the activity of G protein coupled receptor signaling. This protein belongs to a small subclass of adenylyl cyclase proteins that are functionally related and are inhibited by protein kinase A, calcium ions and nitric oxide. A mutation in this gene is associated with arthrogryposis multiplex congenita. [provided by RefSeq, May 2015] |
| 生物功能 | Membrane-bound, calcium-inhibitable adenylyl cyclase. [UniProt] |
| 预测分子量 | 131 kDa |
| 翻译后修饰 | Phosphorylation by RAF1 increases enzyme activity. Phosphorylation by PKA at Ser-662 inhibits the GNAS-mediated increase in catalytic activity. Phosphorylation by PKC at Ser-556, Ser-662 and Thr-919 inhibits catalytic activity. |
检测图片 (3) Click the Picture to Zoom In
-
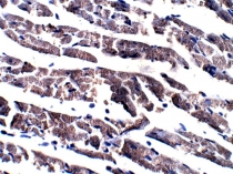
ARG10772 anti-ADCY6 antibody IHC image
Immunohistochemistry: Rat heart tissue section stained with ARG10772 anti-ADCY6 antibody at 1:100 dilution.
-
ARG10772 anti-ADCY6 antibody WB image
Western blot: Recombinant ADCY6 protein stained with ARG10772 anti-ADCY6 antibody at 1:500 dilution.
-
ARG10772 anti-ADCY6 antibody IHC image
Immunohistochemistry: Rat heart tissue section stained with ARG10772 anti-ADCY6 antibody at 1:100 dilution.
