ARG63483
anti-ACSL4 / FACL4 antibody
anti-ACSL4 / FACL4 antibody for Flow cytometry,ICC/IF,IHC-Formalin-fixed paraffin-embedded sections,Western blot and Human
Metabolism antibody; Signaling Transduction antibody
概述
| 产品描述 | Goat Polyclonal antibody recognizes ACSL4 / FACL4 |
|---|---|
| 反应物种 | Hu |
| 预测物种 | Ms, Rat, Cow, Dog, Pig |
| 应用 | FACS, ICC/IF, IHC-P, WB |
| 特异性 | This antibody is expected to recognise isoform 1 (NP_004449.1) and isoform 2 (NP_075266.1). |
| 宿主 | Goat |
| 克隆 | Polyclonal |
| 同位型 | IgG |
| 靶点名称 | ACSL4 / FACL4 |
| 抗原物种 | Human |
| 抗原 | C-HYLKDIERMYGGK |
| 偶联标记 | Un-conjugated |
| 別名 | Long-chain-fatty-acid--CoA ligase 4; ACS4; MRX68; Long-chain acyl-CoA synthetase 4; EC 6.2.1.3; FACL4; LACS4; LACS 4; MRX63 |
应用说明
| 应用建议 |
|
||||||||||
|---|---|---|---|---|---|---|---|---|---|---|---|
| 应用说明 | WB: Recommend incubate at RT for 1h. IHC-P: Antigen Retrieval: Steam tissue section in Citrate buffer (pH 6.0). * The dilutions indicate recommended starting dilutions and the optimal dilutions or concentrations should be determined by the scientist. |
属性
| 形式 | Liquid |
|---|---|
| 纯化 | Purified from goat serum by antigen affinity chromatography. |
| 缓冲液 | Tris saline (pH 7.3), 0.02% Sodium azide and 0.5% BSA. |
| 抗菌剂 | 0.02% Sodium azide |
| 稳定剂 | 0.5% BSA |
| 浓度 | 0.5 mg/ml |
| 存放说明 | For continuous use, store undiluted antibody at 2-8°C for up to a week. For long-term storage, aliquot and store at -20°C or below. Storage in frost free freezers is not recommended. Avoid repeated freeze/thaw cycles. Suggest spin the vial prior to opening. The antibody solution should be gently mixed before use. |
| 注意事项 | For laboratory research only, not for drug, diagnostic or other use. |
生物信息
| 数据库连接 |
Swiss-port # O60488 Human Long-chain-fatty-acid--CoA ligase 4 |
|---|---|
| 背景介绍 | The protein encoded by this gene is an isozyme of the long-chain fatty-acid-coenzyme A ligase family. Although differing in substrate specificity, subcellular localization, and tissue distribution, all isozymes of this family convert free long-chain fatty acids into fatty acyl-CoA esters, and thereby play a key role in lipid biosynthesis and fatty acid degradation. This isozyme preferentially utilizes arachidonate as substrate. The absence of this enzyme may contribute to the mental retardation or Alport syndrome. Alternative splicing of this gene generates 2 transcript variants. [provided by RefSeq, Jul 2008] |
| 研究领域 | Metabolism antibody; Signaling Transduction antibody |
| 预测分子量 | 79 kDa |
检测图片 (5) Click the Picture to Zoom In
-
ARG63483 anti-ACSL4 / FACL4 antibody WB image
Western blot: HepG2 lysate (35 µg protein in RIPA buffer) stained with ARG63483 anti-ACSL4 / FACL4 antibody at 0.1 µg/ml dilution.
-
ARG63483 anti-ACSL4 / FACL4 antibody ICC/IF image
Immunofluorescence: Paraformaldehyde fixed HeLa cells permeabilized with 0.15% Triton. Cells were stained with ARG63483 anti-ACSL4 / FACL4 antibody (green) at 10 µg/ml dilution for 1 hour. DAPI (blue) for nuclear staining. Negative control: Unimmunized goat IgG (green) at 10 µg/ml dilution.
-
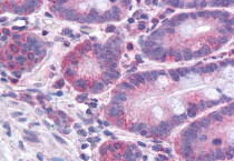
ARG63483 anti-ACSL4 / FACL4 antibody IHC-P image
Immunohistochemistry: Paraffin-embedded Human small intestine tissue. Antigen Retrieval: Steam tissue section in Citrate buffer (pH 6.0). The tissue section was stained with ARG63483 anti-ACSL4 / FACL4 antibody at 3.75 µg/ml dilution followed by AP-staining.
-
ARG63483 anti-ACSL4 / FACL4 antibody FACS image
Flow Cytometry: Paraformaldehyde-fixed HeLa cells permeabilized with 0.5% Triton. Cells were stained with ARG63483 anti-ACSL4 / FACL4 antibody (blue line) at 10 µg/ml dilution for 1 hour, followed by incubation with Alexa FluorR 488 labelled secondary antibody. IgG control: Unimmunized goat IgG (black line).
-
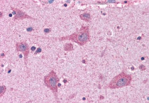
ARG63483 anti-ACSL4 / FACL4 antibody IHC-P image
Immunohistochemistry: Paraffin-embedded Human cortex tissue. Antigen Retrieval: Steam tissue section in Citrate buffer (pH 6.0). The tissue section was stained with ARG63483 anti-ACSL4 / FACL4 antibody at 3.75 µg/ml dilution followed by AP-staining.
