ARG54955
anti-ACSL4 / FACL4 antibody
anti-ACSL4 / FACL4 antibody for ICC/IF,IHC-Formalin-fixed paraffin-embedded sections,Western blot and Human
Metabolism antibody; Signaling Transduction antibody
概述
| 产品描述 | Rabbit Polyclonal antibody recognizes ACSL4 / FACL4 |
|---|---|
| 反应物种 | Hu |
| 应用 | ICC/IF, IHC-P, WB |
| 宿主 | Rabbit |
| 克隆 | Polyclonal |
| 同位型 | IgG |
| 靶点名称 | ACSL4 / FACL4 |
| 抗原物种 | Human |
| 抗原 | KLH-conjugated synthetic peptide corresponding to aa. 236-267 (Center) of Human ACSL4 / FACL4. |
| 偶联标记 | Un-conjugated |
| 別名 | Long-chain-fatty-acid--CoA ligase 4; ACS4; MRX68; Long-chain acyl-CoA synthetase 4; EC 6.2.1.3; FACL4; LACS4; LACS 4; MRX63 |
应用说明
| 应用建议 |
|
||||||||
|---|---|---|---|---|---|---|---|---|---|
| 应用说明 | * The dilutions indicate recommended starting dilutions and the optimal dilutions or concentrations should be determined by the scientist. | ||||||||
| 阳性对照 | HepG2 |
属性
| 形式 | Liquid |
|---|---|
| 纯化 | Purification with Protein G. |
| 缓冲液 | PBS and 0.09% (W/V) Sodium azide |
| 抗菌剂 | 0.09% (W/V) Sodium azide |
| 存放说明 | For continuous use, store undiluted antibody at 2-8°C for up to a week. For long-term storage, aliquot and store at -20°C or below. Storage in frost free freezers is not recommended. Avoid repeated freeze/thaw cycles. Suggest spin the vial prior to opening. The antibody solution should be gently mixed before use. |
| 注意事项 | For laboratory research only, not for drug, diagnostic or other use. |
生物信息
| 数据库连接 |
Swiss-port # O60488 Human Long-chain-fatty-acid--CoA ligase 4 |
|---|---|
| 基因名称 | ACSL4 |
| 全名 | acyl-CoA synthetase long-chain family member 4 |
| 背景介绍 | The protein encoded by this gene is an isozyme of the long-chain fatty-acid-coenzyme A ligase family. Although differing in substrate specificity, subcellular localization, and tissue distribution, all isozymes of this family convert free long-chain fatty acids into fatty acyl-CoA esters, and thereby play a key role in lipid biosynthesis and fatty acid degradation. This isozyme preferentially utilizes arachidonate as substrate. The absence of this enzyme may contribute to the mental retardation or Alport syndrome. Alternative splicing of this gene generates 2 transcript variants. [provided by RefSeq, Jul 2008] |
| 生物功能 | Activation of long-chain fatty acids for both synthesis of cellular lipids, and degradation via beta-oxidation. Preferentially uses arachidonate and eicosapentaenoate as substrates. [UniProt] |
| 细胞定位 | Mitochondrion outer membrane; Single-pass type III membrane protein. Peroxisome membrane; Single-pass type III membrane protein. Microsome membrane; Single-pass type III membrane protein. Endoplasmic reticulum membrane; Single-pass type III membrane protein |
| 研究领域 | Metabolism antibody; Signaling Transduction antibody |
| 预测分子量 | 79 kDa |
检测图片 (3) Click the Picture to Zoom In
-
ARG54955 anti-ACSL4 / FACL4 antibody ICC/IF image
Immunofluorescence: HeLa cells stained with ARG54955 anti-ACSL4 / FACL4 antibody (green). DAPI (blue) for nuclear staining.
-
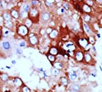
ARG54955 anti-ACSL4 / FACL4 antibody IHC-P image
Immunohistochemistry: Formalin-fixed and paraffin-embedded Human hepatocarcinoma tissue stained with ARG54955 anti-ACSL4 / FACL4 antibody.
-
ARG54955 anti-ACSL4 / FACL4 antibody WB image
Western blot: 35 µg of HepG2 cell lysate stained with ARG54955 anti-ACSL4 / FACL4 antibody.
