ARG42364
anti-ACSL3 antibody
anti-ACSL3 antibody for IHC-Formalin-fixed paraffin-embedded sections,Western blot and Human,Mouse,Rat
概述
| 产品描述 | Rabbit Polyclonal antibody recognizes ACSL3 |
|---|---|
| 反应物种 | Hu, Ms, Rat |
| 应用 | IHC-P, WB |
| 宿主 | Rabbit |
| 克隆 | Polyclonal |
| 同位型 | IgG |
| 靶点名称 | ACSL3 |
| 抗原物种 | Human |
| 抗原 | Recombinant fusion protein corresponding to aa. 42-300 of Human ACSL3 (NP_004448.2). |
| 偶联标记 | Un-conjugated |
| 別名 | PRO2194; ACS3; Long-chain-fatty-acid--CoA ligase 3; FACL3; Long-chain acyl-CoA synthetase 3; EC 6.2.1.3; LACS 3 |
应用说明
| 应用建议 |
|
||||||
|---|---|---|---|---|---|---|---|
| 应用说明 | * The dilutions indicate recommended starting dilutions and the optimal dilutions or concentrations should be determined by the scientist. | ||||||
| 阳性对照 | HeLa | ||||||
| 实际分子量 | ~ 75 kDa |
属性
| 形式 | Liquid |
|---|---|
| 纯化 | Affinity purified. |
| 缓冲液 | PBS (pH 7.3), 0.02% Sodium azide and 50% Glycerol. |
| 抗菌剂 | 0.02% Sodium azide |
| 稳定剂 | 50% Glycerol |
| 存放说明 | For continuous use, store undiluted antibody at 2-8°C for up to a week. For long-term storage, aliquot and store at -20°C. Storage in frost free freezers is not recommended. Avoid repeated freeze/thaw cycles. Suggest spin the vial prior to opening. The antibody solution should be gently mixed before use. |
| 注意事项 | For laboratory research only, not for drug, diagnostic or other use. |
生物信息
| 数据库连接 | |
|---|---|
| 基因名称 | ACSL3 |
| 全名 | acyl-CoA synthetase long-chain family member 3 |
| 背景介绍 | The protein encoded by this gene is an isozyme of the long-chain fatty-acid-coenzyme A ligase family. Although differing in substrate specificity, subcellular localization, and tissue distribution, all isozymes of this family convert free long-chain fatty acids into fatty acyl-CoA esters, and thereby play a key role in lipid biosynthesis and fatty acid degradation. This isozyme is highly expressed in brain, and preferentially utilizes myristate, arachidonate, and eicosapentaenoate as substrates. The amino acid sequence of this isozyme is 92% identical to that of rat homolog. Two transcript variants encoding the same protein have been found for this gene. [provided by RefSeq, Jul 2008] |
| 生物功能 | Acyl-CoA synthetases (ACSL) activates long-chain fatty acids for both synthesis of cellular lipids, and degradation via beta-oxidation (PubMed:22633490). Required for the incorporation of fatty acids into phosphatidylcholine, the major phospholipid located on the surface of VLDL (very low density lipoproteins) (PubMed:18003621). Has mainly an anabolic role in energy metabolism. Mediates hepatic lipogenesis. Preferentially uses myristate, laurate, arachidonate and eicosapentaenoate as substrates. Both isoforms exhibit the same level of activity (By similarity). [UniProt] |
| 细胞定位 | Mitochondrion outer membrane; Single-pass type III membrane protein. Peroxisome membrane; Single-pass type III membrane protein. Microsome membrane; Single-pass type III membrane protein. Endoplasmic reticulum membrane; Single-pass type III membrane protein. [UniProt] |
| 预测分子量 | 80 kDa |
检测图片 (2) Click the Picture to Zoom In
-
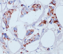
ARG42364 anti-ACSL3 antibody IHC-P image
Immunohistochemistry: Paraffin-embedded Human mammary cancer tissue stained with ARG42364 anti-ACSL3 antibody at 1:100 dilution.
-
ARG42364 anti-ACSL3 antibody WB image
Western blot: 25 µg of HeLa cell lysate stained with ARG42364 anti-ACSL3 antibody at 1:3000 dilution.
