ARG44151
anti-ACP5 / TRAcP antibody
anti-ACP5 / TRAcP antibody for Flow cytometry,ICC/IF,IHC-Formalin-fixed paraffin-embedded sections,Western blot and Human,Mouse,Rat
概述
| 产品描述 | Rabbit Polyclonal recognizes ACP5 / TRAcP |
|---|---|
| 反应物种 | Hu, Ms, Rat |
| 应用 | FACS, ICC/IF, IHC-P, WB |
| 宿主 | Rabbit |
| 克隆 | Polyclonal |
| 同位型 | IgG |
| 靶点名称 | ACP5 / TRAcP |
| 抗原物种 | Human |
| 抗原 | Human ACP5 / TRAcP recombinant protein (Position: N39 - P325) |
| 偶联标记 | Un-conjugated |
| 別名 | Tartrate-resistant acid ATPase; SPENCDI; TrATPase; TR-AP; EC 3.1.3.2; Type 5 acid phosphatase; TRAP; HPAP; Tartrate-resistant acid phosphatase type 5 |
应用说明
| 应用建议 |
|
||||||||||
|---|---|---|---|---|---|---|---|---|---|---|---|
| 应用说明 | *The dilutions indicate recommended starting dilutions and the optimal dilutions or concentrations should be determined by the scientist. |
属性
| 形式 | Liquid |
|---|---|
| 纯化 | Affinity purification with immunogen. |
| 缓冲液 | 0.9% NaCl, 0.2% Na2HPO4, 0.05% Sodium azide and 4% Trehalose. |
| 抗菌剂 | 0.05% Sodium azide |
| 稳定剂 | 4% Trehalose |
| 浓度 | 0.5 mg/ml |
| 存放说明 | For continuous use, store undiluted antibody at 2-8°C for up to a week. For long-term storage, aliquot and store at -20°C or below. Storage in frost free freezers is not recommended. Avoid repeated freeze/thaw cycles. Suggest spin the vial prior to opening. The antibody solution should be gently mixed before use. |
| 注意事项 | For laboratory research only, not for drug, diagnostic or other use. |
生物信息
| 数据库连接 | |
|---|---|
| 基因名称 | ACP5 |
| 全名 | acid phosphatase 5 tartrate resistant |
| 背景介绍 | This gene encodes an iron containing glycoprotein which catalyzes the conversion of orthophosphoric monoester to alcohol and orthophosphate. It is the most basic of the acid phosphatases and is the only form not inhibited by L(+) tartrate. [provided by RefSeq Aug 2008] |
| 生物功能 | Involved in osteopontin/bone sialoprotein dephosphorylation. Its expression seems to increase in certain pathological states such as Gaucher and Hodgkin diseases the hairy cell the B cell and the T cell leukemias. [UniProt] |
| 细胞定位 | Cytoplasmic (lysosomes) |
| 预测分子量 | 37 kDa |
检测图片 (7) Click the Picture to Zoom In
-
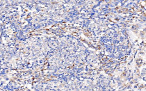
ARG44151 anti-ACP5 / TRAcP antibody IHC-P image
Immunohistochemistry: Human lung stained with ARG44151 anti-ACP5 / TRAcP antibody at 2 μg/ml dilution.
-
ARG44151 anti-ACP5 / TRAcP antibody ICC/IF image
Immunofluorescence: MCF-7 stained with ARG44151 anti-ACP5 / TRAcP antibody at 5 μg/ml dilution.
-
ARG44151 anti-ACP5 / TRAcP antibody WB image
Western blot: HepG2, A431 and Jurkat stained with ARG44151 anti-ACP5 / TRAcP antibody at 0.5 μg/mL dilution.
-
ARG44151 anti-ACP5 / TRAcP antibody FACS image
Flow Cytometry: U251 stained with ARG44151 anti-ACP5 / TRAcP antibody at 1 µg/10^6 cells dilution.
-
ARG44151 anti-ACP5 / TRAcP antibody WB image
Western blot: Rat lung stained with ARG44151 anti-ACP5 / TRAcP antibody at 0.5 μg/mL dilution.
-
ARG44151 anti-ACP5 / TRAcP antibody IHC-P image
Immunohistochemistry: Mouse lung stained with ARG44151 anti-ACP5 / TRAcP antibody at 2 μg/ml dilution.
-
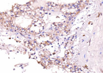
ARG44151 anti-ACP5 / TRAcP antibody IHC-P image
Immunohistochemistry: Human renal cancer stained with ARG44151 anti-ACP5 / TRAcP antibody at 2 μg/ml dilution.
