ARG56194
anti-ACP5 / TRAcP antibody [ACP5/1070]
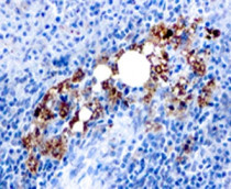
anti-ACP5 / TRAcP antibody [ACP5/1070] for IHC-Formalin-fixed paraffin-embedded sections and Human,Mouse,Rat
概述
| 产品描述 | Mouse Monoclonal antibody [ACP5/1070] recognizes ACP5 / TRAcP |
|---|---|
| 反应物种 | Hu, Ms, Rat |
| 应用 | IHC-P |
| 宿主 | Mouse |
| 克隆 | Monoclonal |
| 克隆号 | ACP5/1070 |
| 同位型 | IgG2b, kappa |
| 靶点名称 | ACP5 / TRAcP |
| 抗原物种 | Human |
| 抗原 | Recombinant full-length human TRAcP protein. |
| 偶联标记 | Un-conjugated |
| 別名 | Tartrate-resistant acid ATPase; SPENCDI; TrATPase; TR-AP; EC 3.1.3.2; Type 5 acid phosphatase; TRAP; HPAP; Tartrate-resistant acid phosphatase type 5 |
应用说明
| 应用建议 |
|
||||
|---|---|---|---|---|---|
| 应用说明 | * The dilutions indicate recommended starting dilutions and the optimal dilutions or concentrations should be determined by the scientist. |
属性
| 形式 | Liquid |
|---|---|
| 纯化 | Purification with Protein G. |
| 缓冲液 | PBS (pH 7.4), 0.05% Sodium azide and 0.1 mg/ml BSA. |
| 抗菌剂 | 0.05% Sodium azide |
| 稳定剂 | 0.1 mg/ml BSA |
| 浓度 | 0.2 mg/ml |
| 存放说明 | For continuous use, store undiluted antibody at 2-8°C for up to a week. For long-term storage, aliquot and store at -20°C or below. Storage in frost free freezers is not recommended. Avoid repeated freeze/thaw cycles. Suggest spin the vial prior to opening. The antibody solution should be gently mixed before use. |
| 注意事项 | For laboratory research only, not for drug, diagnostic or other use. |
生物信息
| 数据库连接 | |
|---|---|
| 基因名称 | ACP5 |
| 全名 | acid phosphatase 5, tartrate resistant |
| 背景介绍 | This gene encodes an iron containing glycoprotein which catalyzes the conversion of orthophosphoric monoester to alcohol and orthophosphate. It is the most basic of the acid phosphatases and is the only form not inhibited by L(+)-tartrate. [provided by RefSeq, Aug 2008] |
| 生物功能 | Involved in osteopontin/bone sialoprotein dephosphorylation. Its expression seems to increase in certain pathological states such as Gaucher and Hodgkin diseases, the hairy cell, the B-cell, and the T-cell leukemias. [UniProt] |
| 细胞定位 | Cytoplasmic (lysosomes) |
| 预测分子量 | 37 kDa |
检测图片 (1) Click the Picture to Zoom In
