ARG42695
anti-ACKR2 antibody
anti-ACKR2 antibody for IHC-Formalin-fixed paraffin-embedded sections,Western blot and Human
概述
| 产品描述 | Rabbit Polyclonal antibody recognizes ACKR2 |
|---|---|
| 反应物种 | Hu |
| 应用 | IHC-P, WB |
| 宿主 | Rabbit |
| 克隆 | Polyclonal |
| 同位型 | IgG |
| 靶点名称 | ACKR2 |
| 抗原物种 | Human |
| 抗原 | Recombinant protein corresponding to M138-A384 of Human ACKR2. |
| 偶联标记 | Un-conjugated |
| 別名 | hD6; Chemokine receptor CCR-9; Chemokine-binding protein 2; CCR10; Atypical chemokine receptor 2; Chemokine-binding protein D6; C-C chemokine receptor D6; Chemokine receptor CCR-10; D6; CCR9; CMKBR9; CCBP2 |
应用说明
| 应用建议 |
|
||||||
|---|---|---|---|---|---|---|---|
| 应用说明 | * The dilutions indicate recommended starting dilutions and the optimal dilutions or concentrations should be determined by the scientist. | ||||||
| 实际分子量 | ~ 55 kDa |
属性
| 形式 | Liquid |
|---|---|
| 纯化 | Affinity purification with immunogen. |
| 缓冲液 | 0.2% Na2HPO4, 0.9% NaCl, 0.05% Sodium azide and 4% Trehalose. |
| 抗菌剂 | 0.05% Sodium azide |
| 稳定剂 | 4% Trehalose |
| 浓度 | 0.5 mg/ml |
| 存放说明 | For continuous use, store undiluted antibody at 2-8°C for up to a week. For long-term storage, aliquot and store at -20°C or below. Storage in frost free freezers is not recommended. Avoid repeated freeze/thaw cycles. Suggest spin the vial prior to opening. The antibody solution should be gently mixed before use. |
| 注意事项 | For laboratory research only, not for drug, diagnostic or other use. |
生物信息
| 数据库连接 | |
|---|---|
| 基因名称 | ACKR2 |
| 全名 | atypical chemokine receptor 2 |
| 背景介绍 | This gene encodes a beta chemokine receptor, which is predicted to be a seven transmembrane protein similar to G protein-coupled receptors. Chemokines and their receptor-mediated signal transduction are critical for the recruitment of effector immune cells to the inflammation site. This gene is expressed in a range of tissues and hemopoietic cells. The expression of this receptor in lymphatic endothelial cells and overexpression in vascular tumors suggested its function in chemokine-driven recirculation of leukocytes and possible chemokine effects on the development and growth of vascular tumors. This receptor appears to bind the majority of beta-chemokine family members; however, its specific function remains unknown. This gene is mapped to chromosome 3p21.3, a region that includes a cluster of chemokine receptor genes. [provided by RefSeq, Jul 2008] |
| 生物功能 | Atypical chemokine receptor that controls chemokine levels and localization via high-affinity chemokine binding that is uncoupled from classic ligand-driven signal transduction cascades, resulting instead in chemokine sequestration, degradation, or transcytosis. Also known as interceptor (internalizing receptor) or chemokine-scavenging receptor or chemokine decoy receptor. Acts as a receptor for chemokines including CCL2, CCL3, CCL3L1, CCL4, CCL5, CCL7, CCL8, CCL11, CCL13, CCL17, CCL22, CCL23, CCL24, SCYA2/MCP-1, SCY3/MIP-1-alpha, SCYA5/RANTES and SCYA7/MCP-3. Upon active ligand stimulation, activates a beta-arrestin 1 (ARRB1)-dependent, G protein-independent signaling pathway that results in the phosphorylation of the actin-binding protein cofilin (CFL1) through a RAC1-PAK1-LIMK1 signaling pathway. Activation of this pathway results in up-regulation of ACKR2 from endosomal compartment to cell membrane, increasing its efficiency in chemokine uptake and degradation. By scavenging chemokines in tissues, on the surfaces of lymphatic vessels, and in placenta, plays an essential role in the resolution (termination) of the inflammatory response and in the regulation of adaptive immune responses. Plays a major role in the immune silencing of macrophages during the resolution of inflammation. Acts as a regulator of inflammatory leukocyte interactions with lymphatic endothelial cells (LECs) and is required for immature/mature dendritic cells discrimination by LECs. [UniProt] |
| 细胞定位 | Early endosome. Recycling endosome. Cell membrane; Multi-pass membrane protein. Note=Predominantly localizes to endocytic vesicles, and upon stimulation by the ligand is internalized via clathrin-coated pits. Once internalized, the ligand dissociates from the receptor, and is targeted to degradation while the receptor is recycled back to the cell membrane. [UniProt] |
| 预测分子量 | 43 kDa |
| 翻译后修饰 | Phosphorylated on serine residues in the C-terminal cytoplasmic tail. [UniProt] |
检测图片 (2) Click the Picture to Zoom In
-
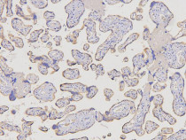
ARG42695 anti-ACKR2 antibody IHC-P image
Immunohistochemistry: Paraffin-embedded Human placenta tissue. Antigen Retrieval: Heat mediation was performed in Citrate buffer (pH 6.0) for 20 min. The tissue section was blocked with 10% goat serum. The tissue section was then stained with ARG42695 anti-ACKR2 antibody at 1 µg/ml dilution, overnight at 4°C.
-
ARG42695 anti-ACKR2 antibody WB image
Western blot: 50 µg of samples under reducing condition. Raji, HeLa and SW620 whole cell lysates stained with ARG42695 anti-ACKR2 antibody at 0.5 µg/ml dilution, overnight at 4°C.
