ARG63484
anti-ACADM antibody
anti-ACADM antibody for IHC-Formalin-fixed paraffin-embedded sections,Western blot and Human
Cancer antibody; Cell Biology and Cellular Response antibody; Metabolism antibody; Signaling Transduction antibody
概述
| 产品描述 | Goat Polyclonal antibody recognizes ACADM |
|---|---|
| 反应物种 | Hu |
| 应用 | IHC-P, WB |
| 特异性 | This antibody is expected to recognise both reported isoforms. |
| 宿主 | Goat |
| 克隆 | Polyclonal |
| 同位型 | IgG |
| 靶点名称 | ACADM |
| 抗原物种 | Human |
| 抗原 | C-RLIVAREHIDKYKN |
| 偶联标记 | Un-conjugated |
| 別名 | ACAD1; MCADH; EC 1.3.8.7; Medium-chain specific acyl-CoA dehydrogenase, mitochondrial; MCAD |
应用说明
| 应用建议 |
|
||||||
|---|---|---|---|---|---|---|---|
| 应用说明 | WB: Recommend incubate at RT for 1h. IHC-P: Antigen Retrieval: Steam tissue section in Citrate buffer (pH 6.0). * The dilutions indicate recommended starting dilutions and the optimal dilutions or concentrations should be determined by the scientist. |
属性
| 形式 | Liquid |
|---|---|
| 纯化 | Purified from goat serum by antigen affinity chromatography. |
| 缓冲液 | Tris saline (pH 7.3), 0.02% Sodium azide and 0.5% BSA. |
| 抗菌剂 | 0.02% Sodium azide |
| 稳定剂 | 0.5% BSA |
| 浓度 | 0.5 mg/ml |
| 存放说明 | For continuous use, store undiluted antibody at 2-8°C for up to a week. For long-term storage, aliquot and store at -20°C or below. Storage in frost free freezers is not recommended. Avoid repeated freeze/thaw cycles. Suggest spin the vial prior to opening. The antibody solution should be gently mixed before use. |
| 注意事项 | For laboratory research only, not for drug, diagnostic or other use. |
生物信息
| 数据库连接 |
Swiss-port # P11310 Human Medium-chain specific acyl-CoA dehydrogenase, mitochondrial |
|---|---|
| 背景介绍 | This gene encodes the medium-chain specific (C4 to C12 straight chain) acyl-Coenzyme A dehydrogenase. The homotetramer enzyme catalyzes the initial step of the mitochondrial fatty acid beta-oxidation pathway. Defects in this gene cause medium-chain acyl-CoA dehydrogenase deficiency, a disease characterized by hepatic dysfunction, fasting hypoglycemia, and encephalopathy, which can result in infantile death. Alternatively spliced transcript variants encoding different isoforms have been found for this gene. [provided by RefSeq, Jul 2008] |
| 研究领域 | Cancer antibody; Cell Biology and Cellular Response antibody; Metabolism antibody; Signaling Transduction antibody |
| 预测分子量 | 47 kDa |
| 翻译后修饰 | Acetylation at Lys-307 and Lys-311 in proximity of the cofactor-binding sites reduces catalytic activity (By similarity). These sites are deacetylated by SIRT3. |
检测图片 (3) Click the Picture to Zoom In
-
ARG63484 anti-ACADM antibody WB image
Western Blot: Human Heart lysate (RIPA buffer, 35 µg total protein per lane) stained with ARG63484 anti-ACADM antibody at 0.05 µg/ml dilution.
-
ARG63484 anti-ACADM antibody IHC-P image
Immunohistochemistry: Paraffin-embedded Human adrenal gland tissue. Antigen Retrieval: Steam tissue section in Citrate buffer (pH 6.0). The tissue section was stained with ARG63484 anti-ACADM antibody at 3.75 µg/ml dilution followed by AP-staining.
-
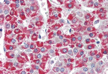
ARG63484 anti-ACADM antibody IHC-P image
Immunohistochemistry: paraffin embedded Human Liver. (Steamed antigen retrieval with citrate buffer pH 6) stained with ARG63484 anti-ACADM antibody at 3.8 µg/ml dilution followed by AP-staining.
