ARG45442
anti-ABP1 antibody
anti-ABP1 antibody for Flow cytometry,ICC/IF,IHC-Formalin-fixed paraffin-embedded sections,Western blot and Human,Monkey
概述
| 产品描述 | Rabbit Polyclonal antibody recognizes ABP1 |
|---|---|
| 反应物种 | Hu, Mk |
| 应用 | FACS, ICC/IF, IHC-P, WB |
| 宿主 | Rabbit |
| 克隆 | Polyclonal |
| 同位型 | IgG |
| 靶点名称 | ABP1 |
| 抗原物种 | Human |
| 抗原 | Recombinant protein containing to human ABP1. |
| 偶联标记 | Un-conjugated |
| 別名 | AOC1; Amine oxidase copper domain-containing protein 1; Amiloride-binding protein 1; Histaminase; KAO; DAO; ABP1; DAO1; Amiloride-sensitive amine oxidase [copper-containing]; ABP; Kidney amine oxidase; Diamine oxidase; EC 1.4.3.22 |
应用说明
| 应用建议 |
|
||||||||||
|---|---|---|---|---|---|---|---|---|---|---|---|
| 应用说明 | * The dilutions indicate recommended starting dilutions and the optimal dilutions or concentrations should be determined by the scientist. | ||||||||||
| 实际分子量 | 90 kDa |
属性
| 形式 | Liquid |
|---|---|
| 纯化 | Affinity purified |
| 缓冲液 | 0.2% Na2HPO4, 0.9% NaCl and 4% Trehalose. |
| 稳定剂 | 4% Trehalose |
| 浓度 | 0.5 mg/ml |
| 存放说明 | For continuous use, store undiluted antibody at 2-8°C for up to a week. For long-term storage, aliquot and store at -20°C or below. Storage in frost free freezers is not recommended. Avoid repeated freeze/thaw cycles. Suggest spin the vial prior to opening. The antibody solution should be gently mixed before use. |
| 注意事项 | For laboratory research only, not for drug, diagnostic or other use. |
生物信息
| 数据库连接 |
Swiss-port # P19801 Human Amiloride-sensitive amine oxidase [copper-containing] |
|---|---|
| 基因名称 | AOC1 |
| 全名 | amine oxidase, copper containing 1 |
| 背景介绍 | This gene encodes a metal-binding membrane glycoprotein that oxidatively deaminates putrescine, histamine, and related compounds. The encoded protein is inhibited by amiloride, a diuretic that acts by closing epithelial sodium ion channels. Alternatively spliced transcript variants encoding multiple isoforms have been observed for this gene. [provided by RefSeq, Jan 2013] |
| 生物功能 | Catalyzes the degradation of compounds such as putrescine, histamine, spermine, and spermidine, substances involved in allergic and immune responses, cell proliferation, tissue differentiation, tumor formation, and possibly apoptosis. Placental DAO is thought to play a role in the regulation of the female reproductive function. [UniProt] |
| 细胞定位 | Cell membrane. [UniProt] |
| 预测分子量 | 85 kDa |
| 翻译后修饰 | Topaquinone (TPQ) is generated by copper-dependent autoxidation of a specific tyrosyl residue. [UniProt] |
检测图片 (5) Click the Picture to Zoom In
-
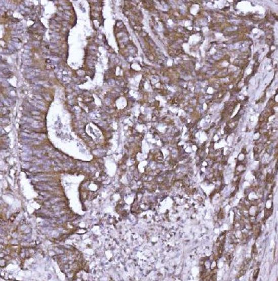
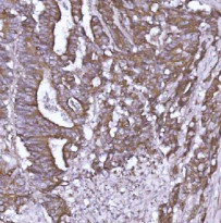
ARG45442 anti-ABP1 antibody IHC-P image
Immunohistochemistry: Human colorectal adenocarcinoma stained with ARG45442 anti-ABP1 antibody at 2 μg/ml dilution.
-
ARG45442 anti-ABP1 antibody ICC/IF image
Immunofluorescence: T-47D stained with ARG45442 anti-ABP1 antibody at 5 μg/ml dilution.
-
ARG45442 anti-ABP1 antibody WB image
Western blot: 293T stained with ARG45442 anti-ABP1 antibody at 0.5 μg/ml dilution.
-
ARG45442 anti-ABP1 antibody FACS image
Flow Cytometry: THP-1 stained with ARG45442 anti-ABP1 antibody at 1 µg/10^6 cells dilution.
-
ARG45442 anti-ABP1 antibody WB image
Western blot: COS-7 stained with ARG45442 anti-ABP1 antibody at 0.5 μg/ml dilution.
