ARG51820
anti-ABL1/2 phospho (Tyr393 / 439) antibody
anti-ABL1/2 phospho (Tyr393 / 439) antibody for ICC/IF,IHC-Formalin-fixed paraffin-embedded sections,Western blot and Human,Mouse
Cancer antibody; Gene Regulation antibody; Signaling Transduction antibody
概述
| 产品描述 | Rabbit Polyclonal antibody recognizes ABL1/2 phospho (Tyr393 / 439) |
|---|---|
| 反应物种 | Hu, Ms |
| 应用 | ICC/IF, IHC-P, WB |
| 宿主 | Rabbit |
| 克隆 | Polyclonal |
| 同位型 | IgG |
| 靶点名称 | ABL1/2 |
| 抗原物种 | Human |
| 抗原 | Peptide sequence around phosphorylation site of tyrosine 393/439 (D-T-Y(p)-T-A) derived from Human ABL1/2. |
| 偶联标记 | Un-conjugated |
| 別名 | Abelson murine leukemia viral oncogene homolog 2; ABLL; Abelson-related gene protein; Abelson tyrosine-protein kinase 2; ARG; Tyrosine-protein kinase ARG; EC 2.7.10.2 |
应用说明
| 应用建议 |
|
||||||||
|---|---|---|---|---|---|---|---|---|---|
| 应用说明 | * The dilutions indicate recommended starting dilutions and the optimal dilutions or concentrations should be determined by the scientist. |
属性
| 形式 | Liquid |
|---|---|
| 纯化 | Antibodies were produced by immunizing rabbits with KLH-conjugated synthetic phosphopeptide. Antibodies were purified by affinity-chromatography using epitope-specific phosphopeptide. In addition, non-phospho specific antibodies were removed by chromatogramphy using non-phosphopeptide. |
| 缓冲液 | PBS (without Mg2+ and Ca2+, pH 7.4), 150mM NaCl, 0.02% Sodium azide and 50% Glycerol. |
| 抗菌剂 | 0.02% Sodium azide |
| 稳定剂 | 50% Glycerol |
| 浓度 | 1 mg/ml |
| 存放说明 | For continuous use, store undiluted antibody at 2-8°C for up to a week. For long-term storage, aliquot and store at -20°C. Storage in frost free freezers is not recommended. Avoid repeated freeze/thaw cycles. Suggest spin the vial prior to opening. The antibody solution should be gently mixed before use. |
| 注意事项 | For laboratory research only, not for drug, diagnostic or other use. |
生物信息
| 数据库连接 | |
|---|---|
| 基因名称 | ABL2 |
| 全名 | ABL proto-oncogene 2, non-receptor tyrosine kinase |
| 背景介绍 | Regulates cytoskeleton remodeling during cell differentiation, cell division and cell adhesion. Localizes to dynamic actin structures, and phosphorylates CRK and CRKL, DOK1, and other proteins controlling cytoskeleton dynamics. Regulates DNA repair potentially by activating the proapoptotic pathway when the DNA damage is too severe to be repaired. Phosphorylates PSMA7 that leads to an inhibition of proteasomal activity and cell cycle transition blocks. |
| 生物功能 | Non-receptor tyrosine-protein kinase that plays an ABL1-overlapping role in key processes linked to cell growth and survival such as cytoskeleton remodeling in response to extracellular stimuli, cell motility and adhesion and receptor endocytosis. Coordinates actin remodeling through tyrosine phosphorylation of proteins controlling cytoskeleton dynamics like MYH10 (involved in movement); CTTN (involved in signaling); or TUBA1 and TUBB (microtubule subunits). Binds directly F-actin and regulates actin cytoskeletal structure through its F-actin-bundling activity. Involved in the regulation of cell adhesion and motility through phosphorylation of key regulators of these processes such as CRK, CRKL, DOK1 or ARHGAP35. Adhesion-dependent phosphorylation of ARHGAP35 promotes its association with RASA1, resulting in recruitment of ARHGAP35 to the cell periphery where it inhibits RHO. Phosphorylates multiple receptor tyrosine kinases like PDGFRB and other substrates which are involved in endocytosis regulation such as RIN1. In brain, may regulate neurotransmission by phosphorylating proteins at the synapse. ABL2 acts also as a regulator of multiple pathological signaling cascades during infection. Pathogens can highjack ABL2 kinase signaling to reorganize the host actin cytoskeleton for multiple purposes, like facilitating intracellular movement and host cell exit. Finally, functions as its own regulator through autocatalytic activity as well as through phosphorylation of its inhibitor, ABI1. [UniProt] |
| 研究领域 | Cancer antibody; Gene Regulation antibody; Signaling Transduction antibody |
| 预测分子量 | 128 kDa |
| 翻译后修饰 | Phosphorylated at Tyr-261 by ABL1 in response to oxidative stress. Phosphorylated by PDGFRB (By similarity). Polyubiquitinated. Polyubiquitination of ABL2 leads to degradation. |
检测图片 (3) Click the Picture to Zoom In
-
ARG51820 anti-ABL1/2 phospho (Tyr393 / 439) antibody WB image
Western blot: Extracts from HL60 cells stained with ARG51820 anti-ABL1/2 phospho (Tyr393 / 439) antibody and the same antibody preincubated with blocking peptide.
-
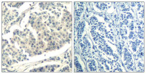
ARG51820 anti-ABL1/2 phospho (Tyr393 / 439) antibody IHC-P image
Immunohistochemistry: Paraffin-embedded Human breast carcinoma tissue stained with ARG51820 anti-ABL1/2 phospho (Tyr393 / 439) antibody (left) or the same antibody preincubated with blocking peptide (right).
-
ARG51820 anti-ABL1/2 phospho (Tyr393 / 439) antibody ICC/IF image
Immunofluorescence: methanol-fixed HeLa cells stained with ARG51820 anti-ABL1/2 phospho (Tyr393 / 439) antibody.
