ARG59217
anti-ABI1 / SSH3BP1 antibody
anti-ABI1 / SSH3BP1 antibody for Flow cytometry,IHC-Formalin-fixed paraffin-embedded sections,Western blot and Human,Mouse,Rat
概述
| 产品描述 | Rabbit Polyclonal antibody recognizes ABI1 / SSH3BP1 |
|---|---|
| 反应物种 | Hu, Ms, Rat |
| 预测物种 | Hm |
| 应用 | FACS, IHC-P, WB |
| 宿主 | Rabbit |
| 克隆 | Polyclonal |
| 同位型 | IgG |
| 靶点名称 | ABI1 / SSH3BP1 |
| 抗原物种 | Human |
| 抗原 | Synthetic peptide corresponding to aa. 151-175 of Human ABI1 / SSH3BP1. (HGVKWLKAKHGNNQPARTGTLSRTN) |
| 偶联标记 | Un-conjugated |
| 別名 | e3B1; Abl-binding protein 4; ABLBP4; Abl interactor 1; Nap1-binding protein; AblBP4; Eps8-binding protein; ABI-1; Abi-1; SSH3BP; E3B1; NAP1BP; Spectrin SH3 domain-binding protein 1; Eps8 SH3 domain-binding protein; Nap1BP; Abelson interactor 1; SSH3BP1 |
应用说明
| 应用建议 |
|
||||||||
|---|---|---|---|---|---|---|---|---|---|
| 应用说明 | IHC-P: Antigen Retrieval: Heat mediated was performed in Citrate buffer (pH 6.0) for 20 min. * The dilutions indicate recommended starting dilutions and the optimal dilutions or concentrations should be determined by the scientist. |
属性
| 形式 | Liquid |
|---|---|
| 纯化 | Affinity purification with immunogen. |
| 缓冲液 | 0.9% NaCl, 0.2% Na2HPO4, 0.05% Sodium azide and 5% BSA. |
| 抗菌剂 | 0.05% Sodium azide |
| 稳定剂 | 5% BSA |
| 浓度 | 0.5 mg/ml |
| 存放说明 | For continuous use, store undiluted antibody at 2-8°C for up to a week. For long-term storage, aliquot and store at -20°C or below. Storage in frost free freezers is not recommended. Avoid repeated freeze/thaw cycles. Suggest spin the vial prior to opening. The antibody solution should be gently mixed before use. |
| 注意事项 | For laboratory research only, not for drug, diagnostic or other use. |
生物信息
| 数据库连接 | |
|---|---|
| 基因名称 | ABI1 |
| 全名 | abl-interactor 1 |
| 背景介绍 | This gene encodes a member of the Abelson-interactor family of adaptor proteins. These proteins facilitate signal transduction as components of several multiprotein complexes, and regulate actin polymerization and cytoskeletal remodeling through interactions with Abelson tyrosine kinases. The encoded protein plays a role in macropinocytosis as a component of the WAVE2 complex, and also forms a complex with EPS8 and SOS1 that mediates signal transduction from Ras to Rac. This gene may play a role in the progression of several malignancies including melanoma, colon cancer and breast cancer, and a t(10;11) chromosomal translocation involving this gene and the MLL gene has been associated with acute myeloid leukemia. Alternatively spliced transcript variants encoding multiple isoforms have been observed for this gene, and a pseudogene of this gene is located on the long arm of chromosome 14. [provided by RefSeq, Sep 2011] |
| 生物功能 | May act in negative regulation of cell growth and transformation by interacting with nonreceptor tyrosine kinases ABL1 and/or ABL2. May play a role in regulation of EGF-induced Erk pathway activation. Involved in cytoskeletal reorganization and EGFR signaling. Together with EPS8 participates in transduction of signals from Ras to Rac. In vitro, a trimeric complex of ABI1, EPS8 and SOS1 exhibits Rac specific guanine nucleotide exchange factor (GEF) activity and ABI1 seems to act as an adapter in the complex. Regulates ABL1/c-Abl-mediated phosphorylation of ENAH. Recruits WASF1 to lamellipodia and there seems to regulate WASF1 protein level. In brain, seems to regulate the dendritic outgrowth and branching as well as to determine the shape and number of synaptic contacts of developing neurons. [UniProt] |
| 细胞定位 | Cytoplasm. Nucleus. Cell projection, lamellipodium. Cell projection, filopodium. Cell projection, growth cone. Cell junction, synapse, postsynaptic cell membrane, postsynaptic density. Cytoplasm, cytoskeleton. Note=Localized to protruding lamellipodia and filopodia tips. Also localized to neuronal growth cones and synaptosomes. May shuttle from the postsynaptic densities to the nucleus (By similarity). [UniProt] |
| 预测分子量 | 55 kDa |
| 翻译后修饰 | Phosphorylated on tyrosine residues after serum stimulation or induction by v-Abl. Seems to be phosphorylated at Tyr-53 by ABL1, required for nuclear but not for synaptic localization. [UniProt] |
检测图片 (6) Click the Picture to Zoom In
-
ARG59217 anti-ABI1 / SSH3BP1 antibody FACS image
Flow Cytometry: U937 cells were blocked with 10% normal goat serum and then stained with ARG59217 anti-ABI1 / SSH3BP1 antibody (blue) at 1 ug/10^6 cells for 30 min at 20°C, followed by DyLight®488 labelled secondary antibody. Isotype control antibody (green) was rabbit IgG (1 ug/10^6 cells) used under the same conditions. Unlabelled sample (red) was also used as a control.
-
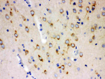
ARG59217 anti-ABI1 / SSH3BP1 antibody IHC-P image
Immunohistochemistry: Paraffin-embedded Mouse brain Tissue. Antigen Retrieval: Heat mediated was performed in Citrate buffer (pH 6.0, epitope retrieval solution) for 20 min. The tissue section was blocked with 10% goat serum. The tissue section was then stained with ARG59217 anti-ABI1 / SSH3BP1 antibody at 1 µg/ml dilution, overnight at 4°C.
-
ARG59217 anti-ABI1 / SSH3BP1 antibody WB image
Western blot: 50 µg of samples under reducing conditions. Rat liver, Rat testis, HeLa, RH35 and HEPA lysates stained with ARG59217 anti-ABI1 / SSH3BP1 antibody at 0.5 µg/ml, overnight at 4°C.
-
ARG59217 anti-ABI1 / SSH3BP1 antibody FACS image
Flow Cytometry: Neuro-2a cells were blocked with 10% normal goat serum and then stained with ARG59217 anti-ABI1 / SSH3BP1 antibody (blue) at 1 ug/10^6 cells for 30 min at 20°C, followed by DyLight®488 labelled secondary antibody. Isotype control antibody (green) was rabbit IgG (1 ug/10^6 cells) used under the same conditions. Unlabelled sample (red) was also used as a control.
-
ARG59217 anti-ABI1 / SSH3BP1 antibody FACS image
Flow Cytometry: U-87 cells were blocked with 10% normal goat serum and then stained with ARG59217 anti-ABI1 / SSH3BP1 antibody (blue) at 1 ug/10^6 cells for 30 min at 20°C, followed by DyLight®488 labelled secondary antibody. Isotype control antibody (green) was rabbit IgG (1 ug/10^6 cells) used under the same conditions. Unlabelled sample (red) was also used as a control.
-
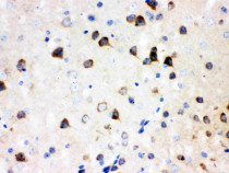
ARG59217 anti-ABI1 / SSH3BP1 antibody IHC-P image
Immunohistochemistry: Paraffin-embedded Rat brain Tissue. Antigen Retrieval: Heat mediated was performed in Citrate buffer (pH 6.0, epitope retrieval solution) for 20 min. The tissue section was blocked with 10% goat serum. The tissue section was then stained with ARG59217 anti-ABI1 / SSH3BP1 antibody at 1 µg/ml dilution, overnight at 4°C.
