ARG45504
anti-ABCE1 / RNAseLinhibitor antibody
anti-ABCE1 / RNAseLinhibitor antibody for Flow cytometry,ICC/IF,IHC-Formalin-fixed paraffin-embedded sections,Western blot and Human,Mouse,Rat
概述
| 产品描述 | Rabbit Polyclonal antibody recognizes ABCE1 / RNAseLinhibitor |
|---|---|
| 反应物种 | Hu, Ms, Rat |
| 应用 | FACS, ICC/IF, IHC-P, WB |
| 宿主 | Rabbit |
| 克隆 | Polyclonal |
| 同位型 | IgG |
| 靶点名称 | ABCE1 / RNAseLinhibitor |
| 抗原物种 | Human |
| 抗原 | Recombinant protein containing to human ABCE1/ RNAse L inhibitor. |
| 偶联标记 | Un-conjugated |
| 別名 | RNS4I; ABC38; 2'-5'-oligoadenylate-binding protein; OABP; RNASEL1; Ribonuclease 4 inhibitor; RLI; ATP-binding cassette sub-family E member 1; HuHP68; RNase L inhibitor; RNASELI |
应用说明
| 应用建议 |
|
||||||||||
|---|---|---|---|---|---|---|---|---|---|---|---|
| 应用说明 | * The dilutions indicate recommended starting dilutions and the optimal dilutions or concentrations should be determined by the scientist. | ||||||||||
| 实际分子量 | 67 kDa |
属性
| 形式 | Liquid |
|---|---|
| 纯化 | Affinity purified |
| 缓冲液 | 0.2% Na2HPO4, 0.9% NaCl and 4% Trehalose. |
| 稳定剂 | 4% Trehalose |
| 浓度 | 0.5 mg/ml |
| 存放说明 | For continuous use, store undiluted antibody at 2-8°C for up to a week. For long-term storage, aliquot and store at -20°C or below. Storage in frost free freezers is not recommended. Avoid repeated freeze/thaw cycles. Suggest spin the vial prior to opening. The antibody solution should be gently mixed before use. |
| 注意事项 | For laboratory research only, not for drug, diagnostic or other use. |
生物信息
| 数据库连接 |
Swiss-port # P61221 Human ATP-binding cassette sub-family E member 1 Swiss-port # P61222 Mouse ATP-binding cassette sub-family E member 1 |
|---|---|
| 基因名称 | ABCE1 |
| 全名 | ATP Binding Cassette Subfamily E Member 1 |
| 背景介绍 | The protein encoded by this gene is a member of the superfamily of ATP-binding cassette (ABC) transporters. ABC proteins transport various molecules across extra- and intra-cellular membranes. ABC genes are divided into seven distinct subfamilies (ABC1, MDR/TAP, MRP, ALD, OABP, GCN20, White). This protein is a member of the OABP subfamily. Alternatively referred to as the RNase L inhibitor, this protein functions to block the activity of ribonuclease L. Activation of ribonuclease L leads to inhibition of protein synthesis in the 2-5A/RNase L system, the central pathway for viral interferon action. Two transcript variants encoding the same protein have been found for this gene. [provided by RefSeq, Jul 2008] |
| 生物功能 | Nucleoside-triphosphatase (NTPase) involved in ribosome recycling by mediating ribosome disassembly. [UniProt] |
| 细胞定位 | Cytoplasm; Mitochondrion. [UniProt] |
| 预测分子量 | 67 kDa |
| 翻译后修饰 | Isopeptide bond; Phosphoprotein; Ubl conjugation. [UniProt] |
检测图片 (7) Click the Picture to Zoom In
-
ARG45504 anti-ABCE1 / RNAseLinhibitor antibody ICC/IF image
Immunofluorescence: Hela stained with ARG45504 anti-ABCE1 / RNAseLinhibitor antibody at 5 μg/ml dilution.
-
ARG45504 anti-ABCE1 / RNAseLinhibitor antibody WB image
Western blot: A431 stained with ARG45504 anti-ABCE1 / RNAseLinhibitor antibody at 0.5 μg/ml dilution.
-
ARG45504 anti-ABCE1 / RNAseLinhibitor antibody FACS image
Flow Cytometry: U251 stained with ARG45504 anti-ABCE1 / RNAseLinhibitor antibody at 1 µg/10^6 cells dilution.
-
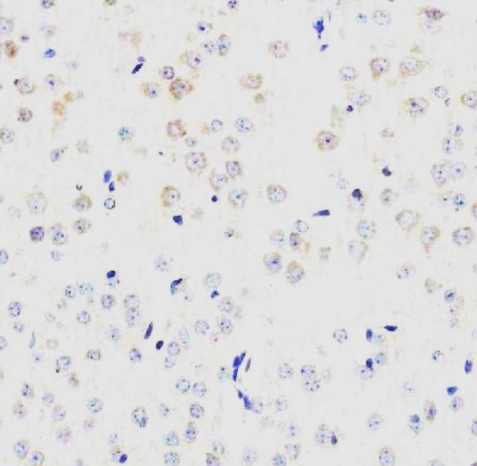
ARG45504 anti-ABCE1 / RNAseLinhibitor antibody IHC-P image
Immunohistochemistry: Rat brain stained with ARG45504 anti-ABCE1 / RNAseLinhibitor antibody at 2 μg/ml dilution.
-
ARG45504 anti-ABCE1 / RNAseLinhibitor antibody WB image
Western blot: Rat brain stained with ARG45504 anti-ABCE1 / RNAseLinhibitor antibody at 0.5 μg/ml dilution.
-
ARG45504 anti-ABCE1 / RNAseLinhibitor antibody IHC-P image
Immunohistochemistry: Mouse brain stained with ARG45504 anti-ABCE1 / RNAseLinhibitor antibody at 2 μg/ml dilution.
-
ARG45504 anti-ABCE1 / RNAseLinhibitor antibody WB image
Western blot: Mouse brain stained with ARG45504 anti-ABCE1 / RNAseLinhibitor antibody at 0.5 μg/ml dilution.
