ARG64649
anti-ABCD4 antibody
anti-ABCD4 antibody for IHC-Formalin-fixed paraffin-embedded sections,Western blot and Human
Controls and Markers antibody
概述
| 产品描述 | Goat Polyclonal antibody recognizes ABCD4 |
|---|---|
| 反应物种 | Hu |
| 预测物种 | Ms, Rat, Dog |
| 应用 | IHC-P, WB |
| 特异性 | Reported variants represent identical protein: NP_064719.1 NP_064731.1 NP_064720.1 NP_064730.1 |
| 宿主 | Goat |
| 克隆 | Polyclonal |
| 同位型 | IgG |
| 靶点名称 | ABCD4 |
| 抗原物种 | Human |
| 抗原 | C-RDDIDNPDQRISQD |
| 偶联标记 | Un-conjugated |
| 別名 | PXMP1-L; Peroxisomal membrane protein 1-like; ABC41; Peroxisomal membrane protein 69; EST352188; MAHCJ; P79R; PMP69; ATP-binding cassette sub-family D member 4; PMP70-related protein; P70R; PXMP1L |
应用说明
| 应用建议 |
|
||||||
|---|---|---|---|---|---|---|---|
| 应用说明 | WB: Recommend incubate at RT for 1h. IHC-P: Antigen Retrieval: Steam tissue section in Citrate buffer (pH 6.0). * The dilutions indicate recommended starting dilutions and the optimal dilutions or concentrations should be determined by the scientist. |
属性
| 形式 | Liquid |
|---|---|
| 纯化 | Purified from goat serum by antigen affinity chromatography. |
| 缓冲液 | Tris saline (pH 7.3), 0.02% Sodium azide and 0.5% BSA. |
| 抗菌剂 | 0.02% Sodium azide |
| 稳定剂 | 0.5% BSA |
| 浓度 | 0.5 mg/ml |
| 存放说明 | For continuous use, store undiluted antibody at 2-8°C for up to a week. For long-term storage, aliquot and store at -20°C or below. Storage in frost free freezers is not recommended. Avoid repeated freeze/thaw cycles. Suggest spin the vial prior to opening. The antibody solution should be gently mixed before use. |
| 注意事项 | For laboratory research only, not for drug, diagnostic or other use. |
生物信息
| 数据库连接 |
Swiss-port # O14678 Human ATP-binding cassette sub-family D member 4 |
|---|---|
| 背景介绍 | The protein encoded by this gene is a member of the superfamily of ATP-binding cassette (ABC) transporters. ABC proteins transport various molecules across extra- and intra-cellular membranes. ABC genes are divided into seven distinct subfamilies (ABC1, MDR/TAP, MRP, ALD, OABP, GCN20, White). This protein is a member of the ALD subfamily, which is involved in peroxisomal import of fatty acids and/or fatty acyl-CoAs in the organelle. All known peroxisomal ABC transporters are half transporters which require a partner half transporter molecule to form a functional homodimeric or heterodimeric transporter. The function of this peroxisomal membrane protein is unknown. However, it is speculated that it may function as a heterodimer for another peroxisomal ABC transporter and, therefore, may modify the adrenoleukodystrophy phenotype. It may also play a role in the process of peroxisome biogenesis. Alternative splicing results in at least two different transcript variants, one which is protein-coding and one which is probably not protein-coding. [provided by RefSeq, Jul 2008] |
| 研究领域 | Controls and Markers antibody |
| 预测分子量 | 69 kDa |
检测图片 (3) Click the Picture to Zoom In
-
ARG64649 anti-ABCD4 antibody WB image
Western Blot: Jurkat lysate (35μg protein in RIPA buffer) stained with ARG64649 anti-ABCD4 antibody at 0.3μg/ml dilution.
-
ARG64649 anti-ABCD4 antibody IHC-P image
Immunohistochemistry: Paraffin-embedded Human testis tissue. Antigen Retrieval: Steam tissue section in Citrate buffer (pH 6.0). The tissue section was stained with ARG64649 anti-ABCD4 antibody at 3.75 µg/ml dilution followed by AP-staining.
-
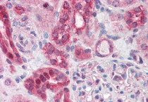
ARG64649 anti-ABCD4 antibody IHC-P image
Immunohistochemistry: Paraffin-embedded Human kidney tissue. Antigen Retrieval: Steam tissue section in Citrate buffer (pH 6.0). The tissue section was stained with ARG64649 anti-ABCD4 antibody at 3.75 µg/ml dilution followed by AP-staining.
