ARG63405
anti-4E-T / EIF4ENIF1 antibody
anti-4E-T / EIF4ENIF1 antibody for IHC-Formalin-fixed paraffin-embedded sections,Western blot and Human
Gene Regulation antibody
概述
| 产品描述 | Goat Polyclonal antibody recognizes 4E-T / EIF4ENIF1 |
|---|---|
| 反应物种 | Hu |
| 预测物种 | Ms, Rat, Cow, Dog, Pig |
| 应用 | IHC-P, WB |
| 特异性 | This antibody is expected to recognise isoform 1 (NP_062817.2) and isoform b (NP_001157974.1). Reported variants represent identical protein (NP_062817.2; NP_001157973.1). |
| 宿主 | Goat |
| 克隆 | Polyclonal |
| 同位型 | IgG |
| 靶点名称 | 4E-T / EIF4ENIF1 |
| 抗原物种 | Human |
| 抗原 | C-AKVISVDELEYRQ |
| 偶联标记 | Un-conjugated |
| 別名 | 4E-T; Eukaryotic translation initiation factor 4E nuclear import factor 1; Eukaryotic translation initiation factor 4E transporter; eIF4E transporter; Clast4 |
应用说明
| 应用建议 |
|
||||||
|---|---|---|---|---|---|---|---|
| 应用说明 | IHC-P: Antigen Retrieval: Steam tissue section in Citrate buffer (pH 6.0). WB: Recommend incubate at RT for 1h. * The dilutions indicate recommended starting dilutions and the optimal dilutions or concentrations should be determined by the scientist. |
属性
| 形式 | Liquid |
|---|---|
| 纯化 | Purified from goat serum by antigen affinity chromatography. |
| 缓冲液 | Tris saline (pH 7.3), 0.02% Sodium azide and 0.5% BSA. |
| 抗菌剂 | 0.02% Sodium azide |
| 稳定剂 | 0.5% BSA |
| 浓度 | 0.5 mg/ml |
| 存放说明 | For continuous use, store undiluted antibody at 2-8°C for up to a week. For long-term storage, aliquot and store at -20°C or below. Storage in frost free freezers is not recommended. Avoid repeated freeze/thaw cycles. Suggest spin the vial prior to opening. The antibody solution should be gently mixed before use. |
| 注意事项 | For laboratory research only, not for drug, diagnostic or other use. |
生物信息
| 数据库连接 |
Swiss-port # Q9NRA8 Human Eukaryotic translation initiation factor 4E transporter |
|---|---|
| 背景介绍 | The protein encoded by this gene is a nucleocytoplasmic shuttle protein for the translation initiation factor eIF4E. This shuttle protein interacts with the importin alpha-beta complex to mediate nuclear import of eIF4E. It is predominantly cytoplasmic; its own nuclear import is regulated by a nuclear localization signal and nuclear export signals. Multiple transcript variants encoding different isoforms have been found for this gene. [provided by RefSeq, Aug 2009] |
| 研究领域 | Gene Regulation antibody |
| 预测分子量 | 108 kDa |
检测图片 (2) Click the Picture to Zoom In
-
ARG63405 anti-4E-T / EIF4ENIF1 antibody WB image
Western Blot: 293 lysate (RIPA buffer, 35 µg total protein per lane) stained with ARG63405 anti-4E-T / EIF4ENIF1 antibody at 0.25 µg/ml dilution.
-
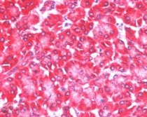
ARG63405 anti-4E-T / EIF4ENIF1 antibody IHC-P image
Immunohistochemistry: paraffin embedded Human Pancreas. (Steamed antigen retrieval with citrate buffer pH 6) stained with ARG63405 anti-4E-T / EIF4ENIF1 antibody at 5 µg/ml dilution followed by AP-staining.
