ARG51169
anti-14-3-3 zeta antibody
anti-14-3-3 zeta antibody for IHC-Formalin-fixed paraffin-embedded sections,Western blot and Human,Mouse,Rat
Cell Biology and Cellular Response antibody; Cell Death antibody; Controls and Markers antibody; Neuroscience antibody; Signaling Transduction antibody
概述
| 产品描述 | Rabbit Polyclonal antibody recognizes 14-3-3 zeta |
|---|---|
| 反应物种 | Hu, Ms, Rat |
| 应用 | IHC-P, WB |
| 宿主 | Rabbit |
| 克隆 | Polyclonal |
| 同位型 | IgG |
| 靶点名称 | 14-3-3 zeta |
| 抗原物种 | Human |
| 抗原 | Peptide sequence around aa.56~60 (R-S-S-W-R) derived from Human 14-3-3 zeta. |
| 偶联标记 | Un-conjugated |
| 別名 | HEL4; 14-3-3-zeta; Protein kinase C inhibitor protein 1; YWHAD; KCIP-1; HEL-S-3; 14-3-3 protein zeta/delta |
应用说明
| 应用建议 |
|
||||||
|---|---|---|---|---|---|---|---|
| 应用说明 | * The dilutions indicate recommended starting dilutions and the optimal dilutions or concentrations should be determined by the scientist. |
属性
| 形式 | Liquid |
|---|---|
| 纯化 | Antibodies were produced by immunizing rabbits with KLH-conjugated synthetic peptide. Antibodies were purified by affinity-chromatography using epitope-specific peptide. |
| 缓冲液 | PBS (without Mg2+ and Ca2+, pH 7.4), 150mM NaCl, 0.02% Sodium azide and 50% Glycerol. |
| 抗菌剂 | 0.02% Sodium azide |
| 稳定剂 | 50% Glycerol |
| 浓度 | 1 mg/ml |
| 存放说明 | For continuous use, store undiluted antibody at 2-8°C for up to a week. For long-term storage, aliquot and store at -20°C. Storage in frost free freezers is not recommended. Avoid repeated freeze/thaw cycles. Suggest spin the vial prior to opening. The antibody solution should be gently mixed before use. |
| 注意事项 | For laboratory research only, not for drug, diagnostic or other use. |
生物信息
| 数据库连接 | |
|---|---|
| 基因名称 | YWHAZ |
| 全名 | tyrosine 3-monooxygenase/tryptophan 5-monooxygenase activation protein, zeta |
| 背景介绍 | This gene product belongs to the 14-3-3 family of proteins which mediate signal transduction by binding to phosphoserine-containing proteins. This highly conserved protein family is found in both plants and mammals, and this protein is 99% identical to the mouse, rat and sheep orthologs. The encoded protein interacts with IRS1 protein, suggesting a role in regulating insulin sensitivity. Several transcript variants that differ in the 5' UTR but that encode the same protein have been identified for this gene. |
| 生物功能 | Adapter protein implicated in the regulation of a large spectrum of both general and specialized signaling pathways. Binds to a large number of partners, usually by recognition of a phosphoserine or phosphothreonine motif. Binding generally results in the modulation of the activity of the binding partner. [UniProt] |
| 产品亮点 | Related products: 1433 zeta antibodies; 1433 zeta Duos / Panels; Anti-Rabbit IgG secondary antibodies; Related news: 14-3-3η as a promising target for the treatment of Major Depression Disorder Has “Obesity gene” been found? |
| 研究领域 | Cell Biology and Cellular Response antibody; Cell Death antibody; Controls and Markers antibody; Neuroscience antibody; Signaling Transduction antibody |
| 预测分子量 | 28 kDa |
| 翻译后修饰 | The delta, brain-specific form differs from the zeta form in being phosphorylated (By similarity). Phosphorylation on Ser-184 by MAPK8; promotes dissociation of BAX and translocation of BAX to mitochondria. Phosphorylation on Thr-232; inhibits binding of RAF1. Phosphorylated on Ser-58 by PKA and protein kinase C delta type catalytic subunit in a sphingosine-dependent fashion. Phosphorylation on Ser-58 by PKA; disrupts homodimerization and heterodimerization with YHAE and TP53. |
检测图片 (2) Click the Picture to Zoom In
-
ARG51169 anti-14-3-3 zeta antibody WB image
Western Blot: extracts from HepG2, HeLa and 293 cells stained with anti-14-3-3 zeta antibody ARG51169.
-
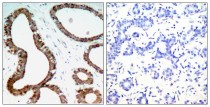
ARG51169 anti-14-3-3 zeta antibody IHC-P image
Immunohistochemistry: paraffin-embedded human breast carcinoma tissue stained with anti-14-3-3 zeta antibody ARG51169 (left) or the same antibody preincubated with blocking peptide (right).
