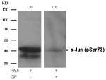
Home Primary Antibodies Search Result - Primary Antibodies There are 22494 results Primary Antibodies 18033 Secondary Antibodies 763 Isotype Controls 213 Antibody Duos and Panels 172 Reagents 542 Kits 2771 anti-VZV gH antibody [6A6] Cat. No: ARG22399 (Mouse mAb) Reactivity: Virus Application: ELISA, ICC/IF Conjugation: Un-conjugated anti-c-Jun phospho (Ser73) antibody Cat. No: ARG51507 (Rabbit pAb) Reactivity: Hu, Ms, Rat Application: IHC-P, WB Conjugation: Un-conjugated anti-p73 phospho (Tyr99) antibody Cat. No: ARG51562 (Rabbit pAb) Reactivity: Hu, Ms, Rat Application: IHC-P, WB Conjugation: Un-conjugated anti-Estrogen Receptor alpha phospho (Ser167) antibody Cat. No: ARG51576 (Rabbit pAb) Reactivity: Hu, Ms Application: ICC/IF, IHC-P, WB Conjugation: Un-conjugated anti-ERBB2 / HER2 phospho (Tyr877) antibody Cat. No: ARG51578 (Rabbit pAb) Reactivity: Hu, Ms, Rat Application: ICC/IF, IHC-P, WB Conjugation: Un-conjugated anti-VEGFR2 phospho (Tyr1214) antibody Cat. No: ARG51588 (Rabbit pAb) Reactivity: Hu, Ms Application: ICC/IF, IHC-P, WB Conjugation: Un-conjugated anti-NMDAR1 phospho (Ser896) antibody (1 Publications) Cat. No: ARG51606 (Rabbit pAb) Reactivity: Hu, Ms, Rat Application: WB Conjugation: Un-conjugated anti-ZAP70 phospho (Tyr319) antibody Cat. No: ARG51657 (Rabbit pAb) Reactivity: Hu, Ms, Rat Application: ICC/IF, WB Conjugation: Un-conjugated anti-ASK1 phospho (Ser83) antibody Cat. No: ARG51674 (Rabbit pAb) Reactivity: Hu Application: IHC-P, WB Conjugation: Un-conjugated anti-VASP phospho (Ser157) antibody Cat. No: ARG51705 (Rabbit pAb) Reactivity: Hu, Ms Application: IHC-P, WB Conjugation: Un-conjugated First Previous 984985986987988989990991992993994 Next Last