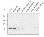
Home Primary Antibodies Search Result - Primary Antibodies There are 21957 results Primary Antibodies 17478 Secondary Antibodies 763 Isotype Controls 213 Antibody Duos and Panels 172 Reagents 543 Kits 2788 anti-TRPV5 antibody Cat. No: ARG55500 (Rabbit pAb) Reactivity: Hu, Ms, Rat Application: IHC-P, WB Conjugation: Un-conjugated anti-HMG20A antibody Cat. No: ARG55508 (Rabbit pAb) Reactivity: Hu, Ms, Rat Application: ICC/IF, WB Conjugation: Un-conjugated anti-AKR1B10 antibody Cat. No: ARG55510 (Rabbit pAb) Reactivity: Hu, Ms, Rat Application: IP, WB Conjugation: Un-conjugated anti-Islet 1 antibody Cat. No: ARG55549 (Rabbit pAb) Reactivity: Hu, Ms, Rat Application: WB Conjugation: Un-conjugated anti-SP1 antibody [1326CT463.109.176] Cat. No: ARG55600 (Mouse mAb) Reactivity: Hu Application: FACS, ICC/IF, WB Conjugation: Un-conjugated anti-Neurotrophin 3 antibody Cat. No: ARG55652 (Rabbit pAb) Reactivity: Hu, Ms Application: IHC-P, WB Conjugation: Un-conjugated anti-POU6F1 antibody Cat. No: ARG55659 (Rabbit pAb) Reactivity: Hu, Ms, Rat Application: ICC/IF, WB Conjugation: Un-conjugated anti-RAB27A antibody Cat. No: ARG55740 (Goat pAb) Reactivity: Hu, Ms, Rat, Dog, Mk Application: ICC/IF, IHC-Fr, IHC-P, WB Specificity: Detects Rab27a by Western blot in the following human, rat and mouse whole cell lysates and transfected cells with GFP-Rab27a. Conjugation: Un-conjugated anti-Bax antibody (1 Publications) Cat. No: ARG55742 (Goat pAb) Reactivity: Hu, Ms, Rat, Dog, Mk Application: ICC/IF, WB Specificity: Detects a band of approximately 21 kDa by Western blot in the following cell lysate: hCat, At-T20, MDA-MB-231, H69 and HUH. Conjugation: Un-conjugated anti-MEK2 antibody Cat. No: ARG55779 (Rabbit pAb) Reactivity: Hu, Ms, Rat Application: ICC/IF, WB Conjugation: Un-conjugated First Previous 411412413414415416417418419420421 Next Last