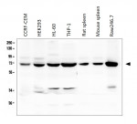
Home Primary Antibodies Search Result - Primary Antibodies There are 22358 results Primary Antibodies 17895 Secondary Antibodies 763 Isotype Controls 213 Antibody Duos and Panels 172 Reagents 542 Kits 2773 anti-Serotonin Transporter antibody Cat. No: ARG40186 (Rabbit pAb) Reactivity: Hu, Ms, Rat Application: IHC-P, WB Conjugation: Un-conjugated anti-CD38 antibody Cat. No: ARG40211 (Rabbit pAb) Reactivity: Hu, Ms, Rat Application: ICC/IF, IHC-P, WB Conjugation: Un-conjugated anti-CD23 antibody Cat. No: ARG40205 (Rabbit pAb) Reactivity: Hu, Ms, Rat Application: FACS, IHC-Fr, IHC-P, WB Conjugation: Un-conjugated anti-CD23 antibody [Tu1] (FITC) Cat. No: ARG23890 (Mouse mAb) Reactivity: Hu Application: BL, FACS, ICC/IF, IHC-Fr, WB Conjugation: FITC anti-CD7 antibody Cat. No: ARG40234 (Rabbit pAb) Reactivity: Hu Application: ICC/IF, IHC-P, IP, WB Conjugation: Un-conjugated anti-CD20 antibody Cat. No: ARG40223 (Rabbit pAb) Reactivity: Hu, Mk Application: IHC-P, WB Conjugation: Un-conjugated anti-CD152 / CTLA4 antibody Cat. No: ARG40233 (Rabbit pAb) Reactivity: Hu, Ms, Rat Application: ICC/IF, WB Conjugation: Un-conjugated anti-OB Cadherin antibody Cat. No: ARG40238 (Rabbit pAb) Reactivity: Hu, Ms, Rat Application: WB Conjugation: Un-conjugated anti-PPM1A antibody Cat. No: ARG56902 (Rabbit pAb) Reactivity: Hu, Ms, Rat Application: ICC/IF, WB Conjugation: Un-conjugated anti-RAB5 antibody Cat. No: ARG56888 (Rabbit pAb) Reactivity: Hu, Ms, Rat Application: ICC/IF, IHC-P, WB Conjugation: Un-conjugated First Previous 335336337338339340341342343344345 Next Last