ARG40414
anti-Sonic Hedgehog antibody
anti-Sonic Hedgehog antibody for IHC-Formalin-fixed paraffin-embedded sections,Western blot and Human,Mouse,Rat
概述
| 产品描述 | Rabbit Polyclonal antibody recognizes Sonic Hedgehog |
|---|---|
| 反应物种 | Hu, Ms, Rat |
| 预测物种 | Hm |
| 应用 | IHC-P, WB |
| 宿主 | Rabbit |
| 克隆 | Polyclonal |
| 同位型 | IgG |
| 靶点名称 | Sonic Hedgehog |
| 抗原物种 | Human |
| 抗原 | Synthetic peptide corresponding to aa. 203-218 of Human Sonic Hedgehog (ATVHLEQGGTKLVKDL), identical to the related Rat and Mouse sequences. |
| 偶联标记 | Un-conjugated |
| 別名 | HPE3; Sonic hedgehog protein; MCOPCB5; HHG-1; HLP3; HHG1; TPT; TPTPS; SHH; SMMCI |
应用说明
| 应用建议 |
|
||||||
|---|---|---|---|---|---|---|---|
| 应用说明 | IHC-P: Antigen Retrieval: By heat mediation. * The dilutions indicate recommended starting dilutions and the optimal dilutions or concentrations should be determined by the scientist. |
属性
| 形式 | Liquid |
|---|---|
| 纯化 | Affinity purification with immunogen. |
| 缓冲液 | 0.2% Na2HPO4, 0.9% NaCl, 0.05% Thimerosal, 0.05% Sodium azide and 5% BSA. |
| 抗菌剂 | 0.05% Thimerosal and 0.05% Sodium azide |
| 稳定剂 | 5% BSA |
| 浓度 | 0.5 mg/ml |
| 存放说明 | For continuous use, store undiluted antibody at 2-8°C for up to a week. For long-term storage, aliquot and store at -20°C or below. Storage in frost free freezers is not recommended. Avoid repeated freeze/thaw cycles. Suggest spin the vial prior to opening. The antibody solution should be gently mixed before use. |
| 注意事项 | For laboratory research only, not for drug, diagnostic or other use. |
生物信息
| 数据库连接 | |
|---|---|
| 基因名称 | SHH |
| 全名 | sonic hedgehog |
| 背景介绍 | This gene encodes a protein that is instrumental in patterning the early embryo. It has been implicated as the key inductive signal in patterning of the ventral neural tube, the anterior-posterior limb axis, and the ventral somites. Of three human proteins showing sequence and functional similarity to the sonic hedgehog protein of Drosophila, this protein is the most similar. The protein is made as a precursor that is autocatalytically cleaved; the N-terminal portion is soluble and contains the signalling activity while the C-terminal portion is involved in precursor processing. More importantly, the C-terminal product covalently attaches a cholesterol moiety to the N-terminal product, restricting the N-terminal product to the cell surface and preventing it from freely diffusing throughout the developing embryo. Defects in this protein or in its signalling pathway are a cause of holoprosencephaly (HPE), a disorder in which the developing forebrain fails to correctly separate into right and left hemispheres. HPE is manifested by facial deformities. It is also thought that mutations in this gene or in its signalling pathway may be responsible for VACTERL syndrome, which is characterized by vertebral defects, anal atresia, tracheoesophageal fistula with esophageal atresia, radial and renal dysplasia, cardiac anomalies, and limb abnormalities. Additionally, mutations in a long range enhancer located approximately 1 megabase upstream of this gene disrupt limb patterning and can result in preaxial polydactyly. [provided by RefSeq, Jul 2008] |
| 生物功能 | Intercellular signal essential for a variety of patterning events during development: signal produced by the notochord that induces ventral cell fate in the neural tube and somites, and the polarizing signal for patterning of the anterior-posterior axis of the developing limb bud. Displays both floor plate- and motor neuron-inducing activity. The threshold concentration of N-product required for motor neuron induction is 5-fold lower than that required for floor plate induction. Activates the transcription of target genes by interacting with its receptor PTCH1 to prevent normal inhibition by PTCH1 on the constitutive signaling activity of SMO (By similarity). [UniProt] |
| 细胞定位 | Sonic hedgehog protein C-product: Secreted, extracellular space. The C-terminal peptide diffuses from the cell. [UniProt] |
| 预测分子量 | 50 kDa |
| 翻译后修饰 | The C-terminal domain displays an autoproteolysis activity and a cholesterol transferase activity. Both activities result in the cleavage of the full-length protein and covalent attachment of a cholesterol moiety to the C-terminal of the newly generated N-terminal fragment (N-product). The N-product is the active species in both local and long-range signaling, whereas the C-product has no signaling activity. Cholesterylation is required for N-product targeting to lipid rafts and multimerization. N-palmitoylation of Cys-24 by HHAT is required for N-product multimerization and full activity. [UniProt] |
检测图片 (3) Click the Picture to Zoom In
-
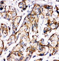
ARG40414 anti-Sonic Hedgehog antibody IHC-P image
Immunohistochemistry: Paraffin-embedded Human mammary tissue stained with ARG40414 anti-Sonic Hedgehog antibody.
-
ARG40414 anti-Sonic Hedgehog antibody WB image
Western blot: Rat liver, Rat intestine, HeLa, A549, SMMC-7721 and MDA-MB-231 cell lysates stained with ARG40414 anti-Sonic Hedgehog antibody.
-
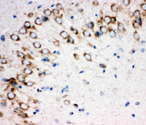
ARG40414 anti-Sonic Hedgehog antibody IHC-P image
Immunohistochemistry: Paraffin-embedded Rat brain tissue stained with ARG40414 anti-Sonic Hedgehog antibody.
