ARG66555
anti-MVK antibody
anti-MVK antibody for ICC/IF,IHC-Formalin-fixed paraffin-embedded sections,Western blot and Human,Monkey
概述
| 产品描述 | Rabbit Polyclonal antibody recognizes MVK |
|---|---|
| 反应物种 | Hu, Mk |
| 应用 | ICC/IF, IHC-P, WB |
| 宿主 | Rabbit |
| 克隆 | Polyclonal |
| 同位型 | IgG |
| 靶点名称 | MVK |
| 抗原物种 | Human |
| 抗原 | KLH-conjugated synthetic peptide encompassing a sequence within the center region of Human MVK. |
| 偶联标记 | Un-conjugated |
| 別名 | Mevalonate kinase; EC 2.7.1.36; POROK3; MK; MVLK; LRBP |
应用说明
| 应用建议 |
|
||||||||
|---|---|---|---|---|---|---|---|---|---|
| 应用说明 | IHC-P: Antigen Retrieval: Heat mediation was performed in Sodium citrate buffer (pH 6.0). * The dilutions indicate recommended starting dilutions and the optimal dilutions or concentrations should be determined by the scientist. |
||||||||
| 实际分子量 | 42 kDa |
属性
| 形式 | Liquid |
|---|---|
| 纯化 | Affinity purified. |
| 缓冲液 | PBS (pH 7.3), 0.02% Sodium azide and 0.2% BSA. |
| 抗菌剂 | 0.02% Sodium azide |
| 稳定剂 | 0.2% BSA |
| 存放说明 | For continuous use, store undiluted antibody at 2-8°C for up to a week. For long-term storage, aliquot and store at -20°C or below. Storage in frost free freezers is not recommended. Avoid repeated freeze/thaw cycles. Suggest spin the vial prior to opening. The antibody solution should be gently mixed before use. |
| 注意事项 | For laboratory research only, not for drug, diagnostic or other use. |
生物信息
| 数据库连接 | |
|---|---|
| 基因名称 | MVK |
| 全名 | mevalonate kinase |
| 背景介绍 | This gene encodes the peroxisomal enzyme mevalonate kinase. Mevalonate is a key intermediate, and mevalonate kinase a key early enzyme, in isoprenoid and sterol synthesis. Mevalonate kinase deficiency caused by mutation of this gene results in mevalonic aciduria, a disease characterized psychomotor retardation, failure to thrive, hepatosplenomegaly, anemia and recurrent febrile crises. Defects in this gene also cause hyperimmunoglobulinaemia D and periodic fever syndrome, a disorder characterized by recurrent episodes of fever associated with lymphadenopathy, arthralgia, gastrointestinal dismay and skin rash. Alternative splicing results in multiple transcript variants. [provided by RefSeq, Jul 2014] |
| 生物功能 | May be a regulatory site in cholesterol biosynthetic pathway. [UniProt] |
| 细胞定位 | Cytoplasm. Peroxisome. [UniProt] |
| 预测分子量 | 42 kDa |
检测图片 (3) Click the Picture to Zoom In
-
ARG66555 anti-MVK antibody ICC/IF image
Immunofluorescence: Formalin-fixed HepG2 cells were permeabilized with 0.1% Triton X-100 in TBS for 5-10 minutes and blocked with 3% BSA-PBS for 30 minutes at room temperature. Cells were stained with ARG66555 anti-MVK antibody (red) in 3% BSA-PBS and incubated overnight at 4°C in a hidified chamber. DAPI was used to stain the cell nuclei (blue).
-
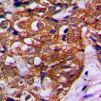
ARG66555 anti-MVK antibody IHC-P image
Immunohistochemistry: Formalin-fixed and paraffin-embedded Human breast cancer tissue. Antigen Retrieval: Heat mediation was performed in Sodium citrate buffer (pH 6.0). The section was then stained with ARG66555 anti-MVK antibody at room temperature and detected using an HRP conjugad compact polymer system. DAB was used as the chromogen. The section was then counterstained with haematoxylin and mounted with DPX.
-
ARG66555 anti-MVK antibody WB image
Western blot: Raji, HepG2 and COS7 whole cell lysates stained with ARG66555 anti-MVK antibody.
